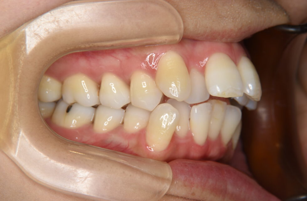
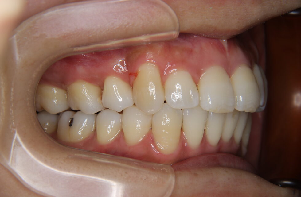
初診時年齢36歳の女性。開咬を伴う上顎前突のケース。
前歯の突出と咬み合わせを気にしておられました。審美的な矯正装置を希望されたため上顎舌側(裏側)・下顎唇側マルチブラケット装置を使用して、上下顎左右側小臼歯の抜歯による動的治療と筋機能療法を併用して行いました。前歯の咬み合わせを改善し、乱れを整えることが出来ました。
動的治療期間は2年4ヶ月間
上顎前突があり歯並びもガタガタで矯正をしたいと思っていましたが、費用や見た目の事もありなかなか踏み出せずにいました。
今回、娘も矯正する必要があり、受診をして説明を聞いて、この先生やスタッフさんがいる所で矯正したいと思いました。
抜歯をしてからだったので道のりは長かったですが、先生やスタッフの方が丁寧な説明をして下さるので不安なく治療を続ける事が出来ました。
ハーフリンガルでしたので費用はかかりましたが、周囲には全く気付かれることなく過ごすことが出来ました。
トラブルにもすぐに対応していただいたので良かったです。
家族からも歯並びがキレイになったとほめられ、いつもマスクをして歯並びを見られないように隠していたのですが、マスクを外して過ごすことが増えました。もっと早くに治療を受ければ良かったと後悔しています。
矯正をするか悩まれている方がいたら、早くした方が良いと思います。
現在リテーナー装着中のため、後戻りしないように頑張って装着したいと思います。
本当にありがとうございました。














