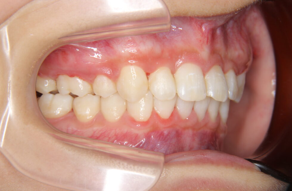
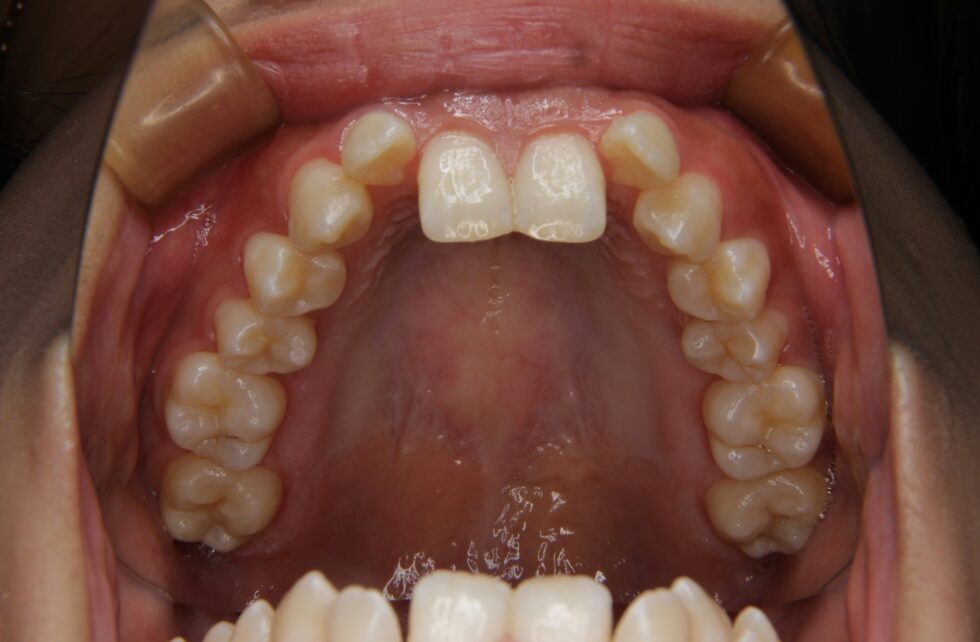
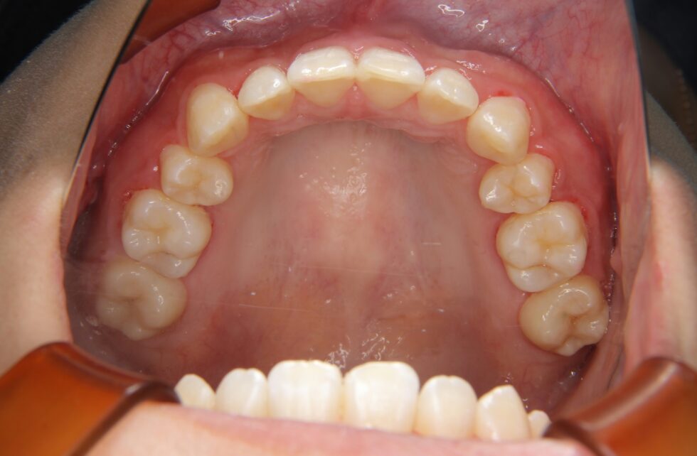
初診時年齢24歳の女性 上顎前歯の内傾を主訴にご来院いただいた。長年、前歯が内側を向いていることを気にされていたが治療を行う勇気が出なかったとのことであった。しかし、咬合時に上顎前歯に痛みを感じるようになったことから治療を希望された。セファログラム他の分析から咬合力の極めて強いと考えられる骨格をされていることが分かった。上あごの前歯が内側を向いた骨格性上顎前突で、アングルの分類Ⅱ級2類と診断した。咬合力が強いと歯の動きは緩徐で、前歯のかみ合わせが深くなり、上あごの前歯の後退が困難になる場合がある。このため、上顎左右側小臼歯を抜歯していただき、矯正用アンカープレートを併用して、上下顎マルチブラケット装置を使用して動的治療を行った。内側を向いていた上顎前歯は適正な角度とすることができた。
動的治療期間4年6カ月間治療費の目安130万円程度
私は小さい頃から八重歯と前歯が内側に入っている事に悩んでいました。なかなか矯正をすることに勇気が出なかったですが、突然歯の痛みを感じるようになり、矯正をしようと決心しました。
初めて相談させていただいた時からとても丁寧に対応していただきました。最初のうちは器具をつけることへの不安はありましたが、少しずつ歯並びが整っていくのがとても嬉しかったのを覚えています。
矯正を始めてから長い時間がかかりましたが、今ではきれいな歯並びになり、歯の痛みもなくなり本当に良かったです。
ほりい矯正歯科のみなさまには本当に感謝しております。本当にありがとうございました。














