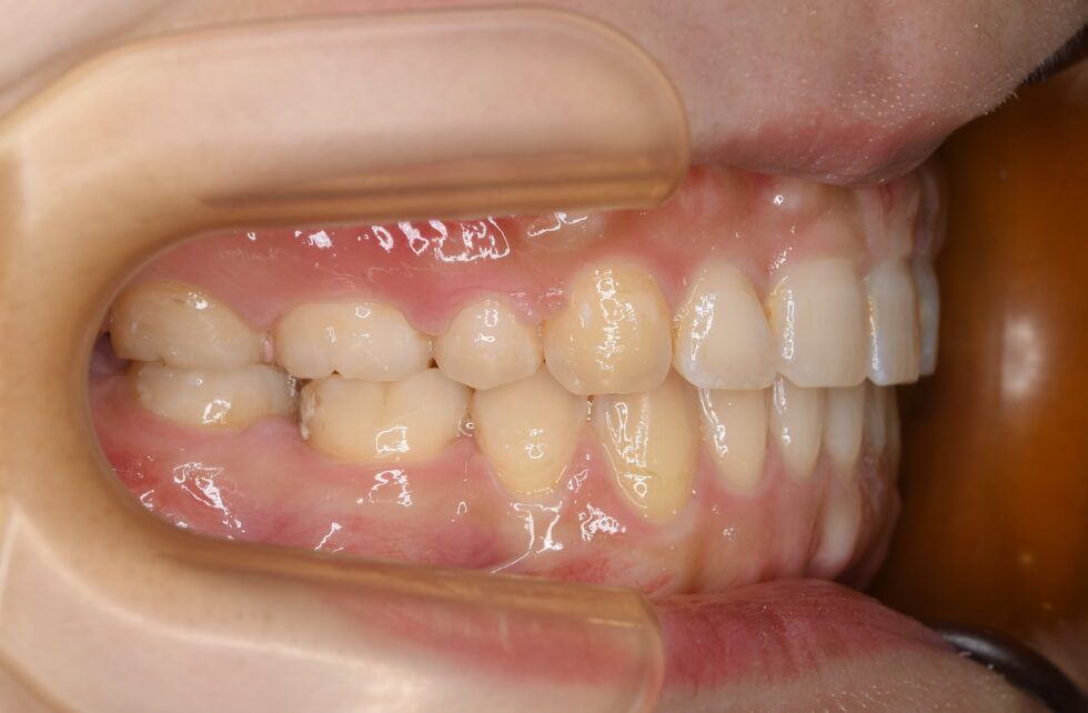
初診時年齢24歳の女性 前歯部の開咬と叢生を主訴に来院された。
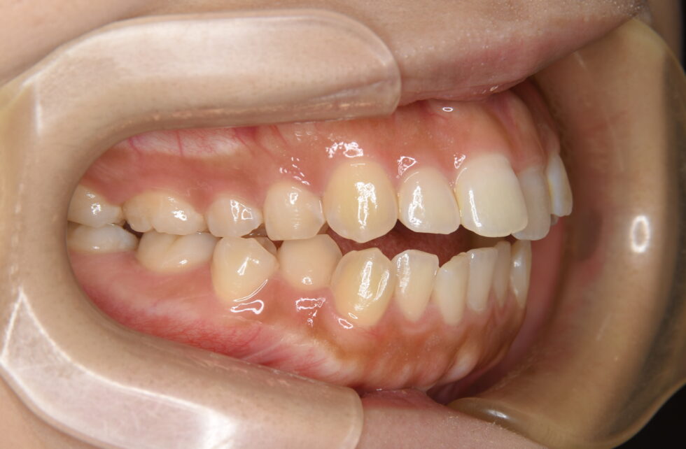
前歯が開咬になっているとともに大臼歯関係も左右差があり、上下の正中線もずれていた。上顎前歯は下顎前歯より約7㎜突出していた。前歯部が開咬となっているため臼歯部の負担が大きいと予想された。実際、咬合している小臼歯、大臼歯は咬耗が著しく、咬頭がない状態であった。セファログラムなどの分析から、前歯部開咬、叢生を伴う骨格性上顎前突と診断した。上下顎マルチブラケット装置に矯正用アンカープレートを併用、小臼歯抜歯、筋機能療法も行っていただきながら動的治療を行った。上下前歯が咬合接触し、正常な被蓋とすることができた。また、積極的に前歯の後退を行ったため、口元の突出感が減少し、上下の口唇はほぼE-ライン上になるように改善した。動的治療期間2年11カ月間で保定へ移行した。調整来院は22回であった。
歯がガタガタしているのと噛み合わせの悪さをずっと気にしていました。
ご相談したときには、どのような処置が必要かと、目指すイメージごとの治療パターンを分かりやすく教えていただいたのですりあわせがでやすくありがたかったです。
みなさま優しく毎回対応して下さったので通院は苦でありませんでした。どんどん歯が綺麗になっていく過程が嬉しく、歯の痛みはそれほど大きく感じませんでした。
今はおもいきり歯を見せて話せることや、写真うつりに対するコンプレックスが少なくなったことで自信がついたきがします。これからもリテーナーで維持を頑張ろうとおもいます。ありがとうございました。














