なぜ歯並びが悪くなるの?
 
						歯並びを整える矯正治療、そもそもなぜ歯並びが悪くなるのでしょうか?
歯並びが悪くなる原因には、さまざまな要因が関与しています。
今回は、歯並びが悪くなる一般的な原因についてお話したいと思います。
1.遺伝的要因
歯並びが悪くなる最大の原因の一つが遺伝です。歯の大きさや顎の形、歯の本数などは親から子へ遺伝することがあり、親の歯並びが悪い場合、子供も同様になる可能性があります。例えば、顎が小さいと歯がきちんと並ぶスペースが不足し、歯が重なり合ったり、ずれて生えてしまうことがあります。
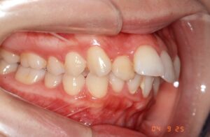
※遺伝的要因の一例です。(上が親御様、下がお子様)よく似た歯並びです。
2.生活習慣の影響
普段の生活習慣も歯並びに大きな影響を与えます。特に以下の習慣が歯並びを悪くする原因になります:
- 
指しゃぶり指しゃぶりを長期間続けると、前歯が前方に押し出されて出っ歯になることがあります。 
- 
舌の癖舌で前歯を押す癖があると、前歯が前方に移動したり、隙間ができたりすることがあります。 
- 
口呼吸口呼吸をする習慣があると、歯並びや顎の発育に悪影響を与え、顔全体のバランスにも影響することがあります。 
3.乳歯の早期喪失
乳歯は永久歯が正しい位置に生えるためのガイドの役割を果たしています。しかし、虫歯などで乳歯を早期に失ってしまうと、隣の歯がそのスペースに動いてしまい、永久歯が正しい位置に生えるスペースが不足することがあります。これにより、歯並びが乱れる可能性が高くなります。
4.顎の成長不足
顎の成長が不十分だと、歯が並ぶスペースが足りなくなり、歯が重なって生えてくることがあります。現代の食生活は柔らかい食べ物が多く、顎を十分に使わないことが、顎の発達不足を引き起こす原因の一つとされています。顎の成長が不十分だと、歯並びや咬み合わせに問題が生じやすくなります。
5.歯の異常
過剰歯(通常よりも多くの歯が生える状態)や先天性欠損(歯が足りない状態)などの歯の異常も、歯並びに影響を与えます。過剰歯がある場合、正しい歯の位置が圧迫され、歯が斜めに生えたり、ずれたりすることがあります。一方、先天性欠損の場合、隣の歯がその空いたスペースに動いてしまい、咬み合わせが乱れることがあります。
6.外傷や事故
顔や口に外傷を受けた場合、歯並びや咬み合わせが乱れることがあります。特に顎に強い衝撃を受けた場合、顎骨がずれてしまい、それに伴って歯の位置も変わってしまうことがあります。
7.年齢による変化
成長期を過ぎた後でも、歯並びは変化することがあります。例えば、親知らずが生えてくる時期に、他の歯を圧迫して歯並びが乱れることがよくあります。また、加齢に伴う歯の移動や、歯茎の退縮も歯並びに影響を与えることがあります。
歯並びが悪くなる原因は遺伝的要因から生活習慣、事故までさまざまです。歯並びは見た目だけでなく、噛む力や発音にも影響を与えるため、適切なケアが欠かせません。
定期的な歯科検診と、必要に応じて適切な治療を受け、健康で美しい歯並びを保ってくださいね。
当院での治療例はこちらからご覧ください!
https://www.horii-kyousei.com/category/voice/


 
                             
                        














