歯並びがもたらす影響
みなさんこんにちは歯科衛生士の奥野です。
皆さんは今まで矯正治療をしてみよう!と考えたことはありますか?
多くの人が、見た目に悩み矯正を希望して相談に来られます。
歯並びが整うことにより、どのようなことが改善されるのでしょうか?
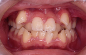
歯並びが悪いと・・・
・虫歯や歯周病になりやすい
・噛み合わせが悪い事で食べ物が噛みにくい
・歯やあごにストレスがかかりやすい
・うまく発音できない
などがあげられます
歯並びを整えることでもたらす良い影響
-
歯の健康が保ちやすくなる
歯並びが悪ことで、歯と歯の間・歯と歯茎の境目に歯ブラシが届きにくく、口の中を衛生的に保ちにくくなります。歯並びが整うことにより、歯ブラシが届きにくかった部分もしっかり磨くことができるようになり、虫歯や歯周病のリスクが低くなります。
-
しっかり噛んで食べられるようになる
歯が噛み合っていないと、しっかり食べ物を噛むことができません。
歯並びや、噛み合わせを改善することにより、これまで噛み切れなかった食べ物でも噛みやすくなります。
-
顎の関節の不調改善
原因が明らかに歯並びや噛み合わせの場合には、歯並びを整えることにより顎の不調が軽減される場合もあります。
-
正しくはっきり発音できる
前歯がしっかり噛み合ってなかったり、歯列によって隙間があったりすると、空気が漏れて正しく発音することが難しいことがあります。矯正することにより隙間が閉じ発音しにくかったサ行・タ行もはっきりと正しく発音できるようになります。
-
顔のバランスが整うことも
顔の印象は骨格の影響を大きく受けます。
噛み合わせが悪い事で顎のバランスが悪くなってしまったり、出っ歯により口が閉じにくく、口元が出ているように見えたりします。矯正によって噛み合わせが正常な状態に改善されることで顔のバランスが整いスッキリとしたキレイな口元になることも!!!
-
コンプレックスを解消し、自信がもてる
歯並びが悪い事がコンプレックスとなり、口元をつい隠し、人と接するときに自信を失ってしまいがちです。歯並びを改善することで、口元を気にすることなく会話できたり、口を大きく開けて笑ったりすることができるようになり、治療後の自分に自信をもてたという声を患者様からたくさんいただきます
矯正治療は患者様の協力がとても大きく影響します。
矯正治療は費用や時間がかかるので、治療になかなか踏み出せない方も多くいらっしゃいます。この機会にお持ちのお悩みや疑問をご相談ください




















