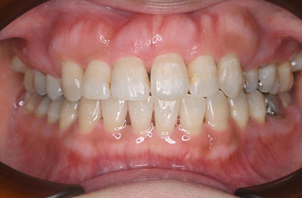
初診時年齢35歳の女性 前歯で咬めないことと八重歯を主訴にご来院いただいた。
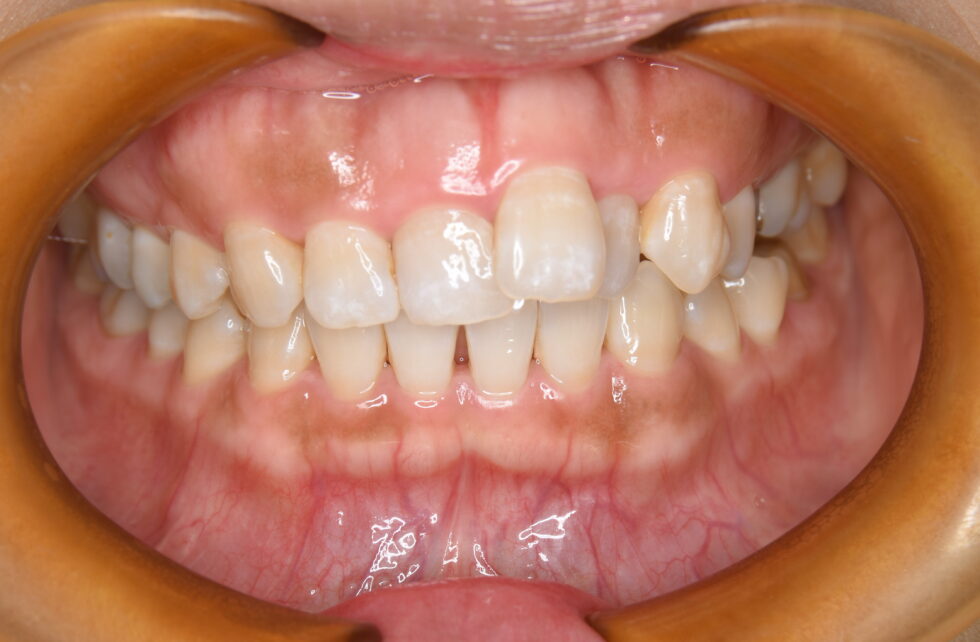
上顎の正中線が左へ偏位しほぼ下顎前歯1本分ずれていた。このため上顎左側中切歯は1歯突出していた。上顎左側犬歯は唇側に転位していた。大臼歯は左右共に上顎が前方にあるⅡ級関係だったが特に右側は1歯分Ⅱ級になっていた。叢生と診断し、上顎左右側第一小臼歯を抜歯していただき上下顎マルチブラケット装置を使用して動的治療を行った。上顎が左にずれていた正中線をオーバーコレクションし矯正装置を撤去して保定へ移行した。初診時には前歯でものを咬み切れないとおっしゃっていたが、咬み切れるようになったと言っていただけた。動的治療期間2年5か月間(調整来院21回)
子どもの矯正に通っていましたが、自分も治療を受けてみたくなり、受診しました。今まで前歯で食べ物を噛み切れなかったのが改善されもっと早く治しておけばよかったと思いました。歯みがきがしやすくなったのもよかったです。治療中の痛みなどはありましたが、ずっと続くことはないので我慢できる痛みでした。子どもの矯正の気持ちもわかり、受けて良かったと思いました。














