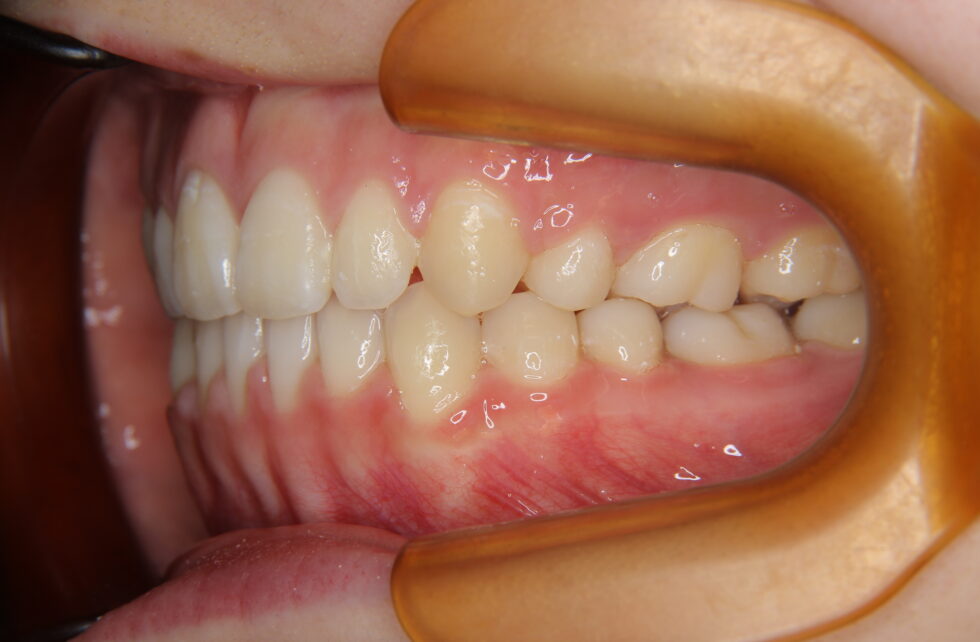
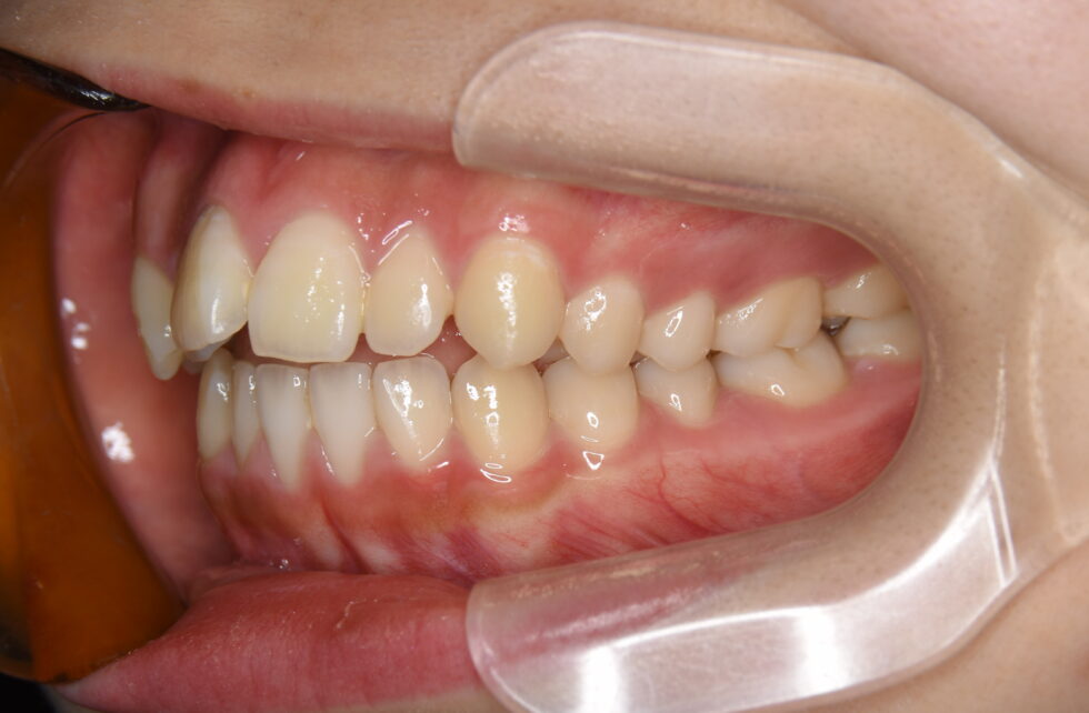
初診時年齢15歳の女性。開咬を伴う上顎前突のケース。
上顎前歯の突出および咬み合わせを気にしておられました。マルチブラケット装置を使用して、上顎左右側小臼歯の抜歯による動的治療と筋機能療法を併用して行いました。突出していた前歯の後退を行い、咬み合わせを改善することが出来ました。
動的治療期間は2年3ヶ月間
中学生の頃から、自分の歯に対してコンプレックスがあったので綺麗になった今、本当にやってよかったと思います。
自分にさらに自信が持てるようになりました。
また、最初の頃はとても緊張して通っていましたが、先生方やスタッフの方が優しく、すぐに慣れることができました。
矯正する前に迷っていた自分に必ずしたほうがいいと伝えたいです!
まだリテーナー中ですが、ずっと綺麗な歯でいられるようにこれからもがんばります。
ありがとうございました♡














