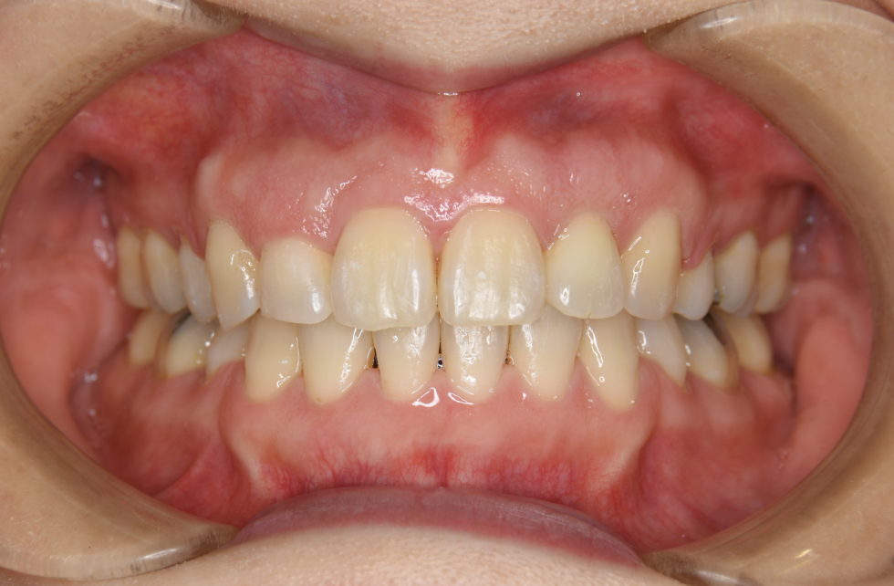
初診時年齢40歳の女性、上顎左右側、下顎右側側切歯が舌側へ転位していることを主訴として来院された。
特に下顎は完全に舌側へ転位し、中切歯と犬歯は接触していた。上下顎小臼歯を抜歯していただき上下顎唇側マルチブラケット装置を使用して動的治療を行った。動的治療期間2年8カ月間 治療費の目安 95万円程度
物心が付いた時から自分の歯がきれいに並んでいる状態を見たことがありませんでした。ずっとコンプレックスで、写真を撮っているときの「歯を見せて笑って」と言われることが本当に嫌でたまりませんでした。でも両親に負担はかけられない、成人してからは、この年齢では遅すぎるだろうと諦めていました。
治療を受けようと思ったきっかけは、姉が40歳になってから矯正を始めたことです。40歳でも治療ができる例を間近で見たこと、働いて金銭的に余裕が出来たことも後押しをして、矯正を始めることを決意しました。決めたからには絶対に後悔するようなことにはなりたくないと思い、色々調べて専門医であること、立地が良く通いやすいこと、しっかりとしたカウンセリングが決め手になり、ほりい矯正歯科クリニックさんに決めました。治療費は決して安くありませんが、設備も整っていますし、スタッフの皆さんも感じのいい方ばかりです。
治療を伴う抜歯で、1カ月程おかゆやスープしか食べられなかったときや、装置の入れ始めは痛かったり、口内炎ができたり、滑舌が悪くなったりと辛いこともありましたが、数日すれば慣れますし、何より歯並びが良くなっていくことが嬉しかったです。
もう一つ治療を受けて良かったことは、歯みがきの指導や染め出しで、磨き具合をチェックする機会が幾度とありましたので自然と徹底した歯みがき習慣がついたことです。どれだけ疲れていても、高熱があっても、欠かさず数種類の歯ブラシとフロスを使った歯磨きをするようになりました。きれいに磨けたと思っていても汚れが残っていたりして、いかに今までの磨き方が甘かったかを認識しました。きれいな歯並びだけでなく、歯の健康を守る習慣も手に入れることが出来ました。
装置を外した日に、先生方と写真を撮って頂いたのですが、きれいに並んだ歯を見せて笑う日が来るなんて、本当に治療をして良かったです。














