初診時年齢22歳の女性 上あごの前歯が突出していることを主訴として来院された。
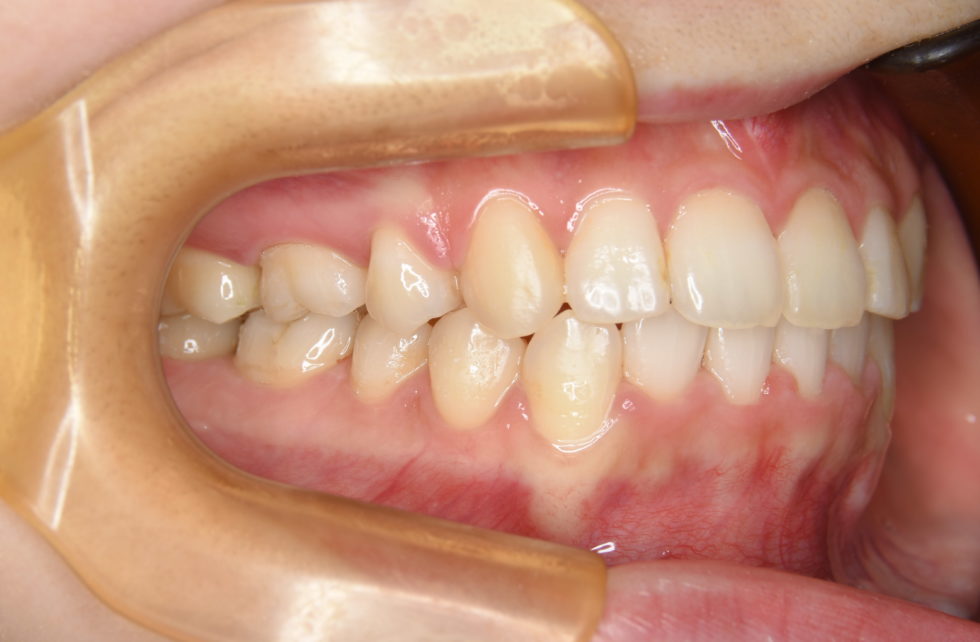
上顎前歯が約8㎜突出していた。また、上下の正中線がずれ、左右の大臼歯関係に著しい差があった。上顎に対して下顎が後退した骨格性上顎前突と診断して小臼歯抜歯を行っていただき、上顎舌側、下顎唇側マルチブラケット装置を装着して、口蓋に矯正用アンカースクリューを併用して動的治療を行った。上顎前歯の後退が十分に行われ、前歯の被蓋の適正化が図れた。動的治療期間2年7カ月間 調整来院25回
私が矯正を始めようと思ったきっかけは、出っ歯なのがコンプレックスだったからです。
社会人になったら、矯正がしたい!と考えていたので、社会人になり、気持ちが固まって、すぐに駆け込みました。
歯列矯正はお金も時間もかかるし、大変なことが多いのは、もちろんわかっていたつもりでしたが、実際にやってみると想像以上にしんどいことが多かったです。
特に、食べることが大好きな私は、食べ物が装置につまったり、歯が痛いときは、柔らかいものしか食べられなかったりすることが辛かったです。
矯正治療中は、少しずつ歯並びが綺麗になっていくのが、目に見えてわかったので、それがすごく嬉しくて毎月の調整が楽しみでした。
大変なことも多い矯正治療でしたが、コンプレックスも無くなり、今は綺麗な歯並びで自分にも自信を持つことができました。
思い切って歯列矯正を始めて良かったです。ありがとうございました。














