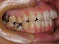
初診時年齢37歳の女性 下顎左右側第一大臼歯が小臼歯に向かって倒れこむようになっておられ、下顎は第二小臼歯が欠損していた。
自発痛があるとのことであった。また、徐々に前歯の前突が進んでいるように感じるとのことであった。口元の突出がありこの改善のため上顎小臼歯を抜歯していただき、前歯の後退を行い、下顎はアンカープレートを装着し倒れた大臼歯を引き起こすように配列を行った。上下顎マルチブラケット装置を使用した。 動的治療期間3年4か月間
ここまで来るのに時間はかかりましたが、本当にキレイな歯並びになって、とても嬉しいです♪
それに、矯正装置が外れた時には、先生をはじめスタッフの皆さんからお祝いの言葉をいただき、お花と記念写真まで頂いて驚きと感動でいっぱいでした。
私は子供の頃からあごが小さく歯が並びきらないため、一本また一本と邪魔な歯を抜いていました。大人になり、妊娠すると親知らずがうずくようになり、歯肉に埋まっていたので抜くのに苦労しました。そんなことをしている間に抜いた歯の奥側の歯が倒れてきて夜も眠れないほど痛んだり、押されて前歯がどんどん出てきたりして、ひどい歯並びと歯痛と肩こりになってしまいました。
30代後半で矯正なんて恥ずかしいっっとも思いましたが、今は行って良かったと心の底から思います。
先生もどのスタッフの方も皆さんとても明るく和やかなムードなので通いやくすていいです。














