初診時年齢29歳の女性。かかりつけ医から顎変形症の疑いとのことで、数件の矯正歯科医院を受診されたのちに来院されたケース
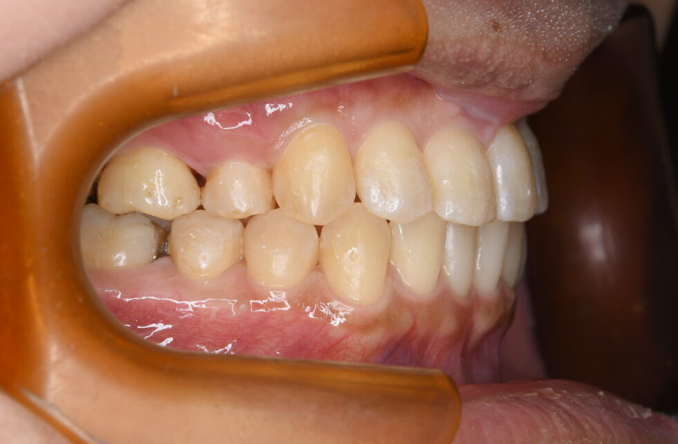
前歯部に加え右側の臼歯部についても反対咬合となっていた。上顎歯列と比較し下顎歯列の幅が大きく、骨格の分析を行った結果、下顎の右側への偏位を伴う骨格性反対咬合と診断し、顎離断術を併用した外科矯正を行うこととした。上顎小臼歯を抜歯していただき術前、術後の矯正治療を行った。
コロナ禍で手術が延期になったこともあり、術前矯正2年1カ月、術後矯正1年6か月であった
いつも通院している歯科医院で「顎変形症」の疑いを指摘されました。
インターネットで治療ができる医院を自ら探し、いくつかでカウンセリングを受け、ほりい矯正歯科クリニックで治療を受けようと決めました。歯列矯正治療は長期通院が必要なため、院内の雰囲気やスタッフの方々の印象はとても大切だと思っていましたし、選ぶ時にも重視しました。
まず、電話の受付の印象が抜群に良かったです。院内の雰囲気もとても良く、堀井先生をはじめスタッフの皆さんがいつも笑顔で接して下さいました。
調整後の痛みに初めはビックリしましたが、私にとっては我慢できる程度でした。2日ほどすれば痛みも気にならなくなりました。何より歯が動いていると思うと嬉しかったです。
食事に関してもそんなに不自由さは感じませんでした(術後3ヶ月以外は)。割と何でも食べてました。
歯みがきは今までで一番気をつけました。やはり、器具があるとかなり磨きにくいです。鏡を使い、丁寧に磨くと20分以上はかかりました。ただ、虫歯などで治療を中断したくなかったので頑張りました。通院による染め出しでのチェックも歯みがきをする上でとても参考になりました。
治療途中でコロナ禍になり、外科矯正の私は手術の予約が先になったりもしましたがその分慌ただしくならず、しっかり治療できて良かったかなと思っています。
手術はなかない辛かったですが、励ましの言葉がとても嬉しかったです。
器具やゴムかけの見た目もコロナ禍のマスク生活でほぼ気にならず過ごせました。
通院治療は一度も苦痛に感じることはなかったです。(むしろちょっと楽しかったくらいです。)
歯磨きやゴムかけなど少し手間で面倒ですが、おかげ様で大きなトラブルや中断もなく、動的治療を終えることできました。
たくさんのサポートに大変感謝しています。ありがとうございました!!思い切って治療して良かったと感じています。
今はリテーナーによる保定中で少り喋りにくさは感じますが…ここまで頑張って治療した歯並びを維持できるように努めます














