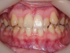
初診時年齢24歳の女性 上下顎前歯の叢生を主訴として来院された。
上下の骨格に前後的なずれはなく叢生と診断して治療を行った。抜歯を行わずマルチブラケット装置を使用して動的治療を行った。
動的治療期間1年8か月間
私は小学生の時から歯並びが悪く、歯科検診では毎回、矯正を勧められていました。
しかし実際に行うまでにはなかなか至らず、社会人になって周りの友達が何人か矯正を始めたことから、私もやりたいと思い、始めました。
実際に治療を始めてみると、多少の痛みはありましたが、思っていたほどではありませんでした。
それよりも、少しずつ歯並びがきれいになっていくことが楽しくなりました。
先生方もとても優しくいつもいろいろな話をして下さるので、治療に通うのも楽しく続けてこれました。
私はまだ治療が終わったわけではありませんが、歯並びを気にせず笑えるようになり、嬉しく思っています。














