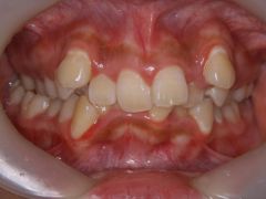
初診時年齢17歳の女子 上下顎前歯の著しい叢生を主訴に来院された。
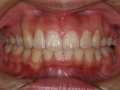
大臼歯関係は上顎が下顎より前方にあり、叢生に加え上下の歯の咬合関係にも大きなずれがあった。顎外固定装置(ヘッドギア)を併用し上下顎マルチブラケット装置を使用して、上下顎小臼歯を抜歯していただき動的治療を行った。 動的治療期間2年3か月間(調整来院25回)
私は小学生くらいから歯並びが気になりだしましたが、なかなか治療を受けるまでは至りませんでした。周りの友達には矯正をしている、またはしていた子も多く、大変そうだなという印象を受けていましたが、それ以上に歯並びを治したい気持ちが大きかったのが実際に治療を受けようと思ったきっかけです。
治療中は毎日の歯磨き、ヘッドギアなど大変なことはありましたが、思った以上に苦にならなかったのが率直な感想です。毎月の通院後は歯が痛くて食べ物が食べづらい時もありましたが、それも2日ぐらいで意外と何でも好きなものを食べられてたかなと思います。治療が苦ではなかったのは、やっぱり歯並びを治したいという気持ちがあったことと、病院のスタッフの皆さんに優しくして頂けたこと、そしてだんだんキレイになっていく歯並びに早く治したいという気持ちがあったからだと思います。
治療前は本当に歯並びが悪くあまり笑いたくなかったのですが、今ではそんなことを気にせず笑えるようになったことが本当に嬉しいです。これからも歯磨きを頑張りキレイな歯並びを継続できるようにしていきたいと思います。ありがとうございました。














