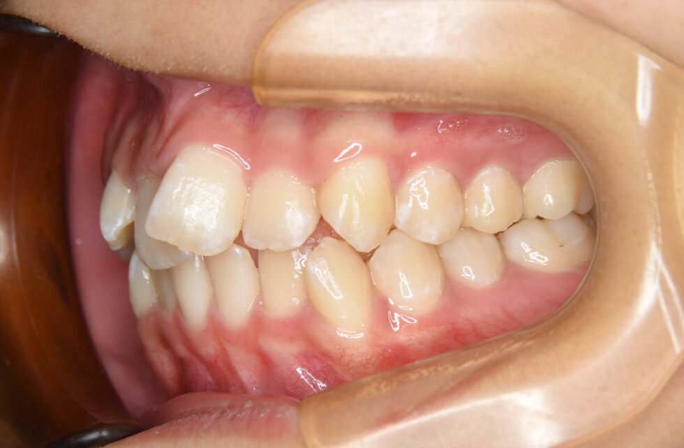
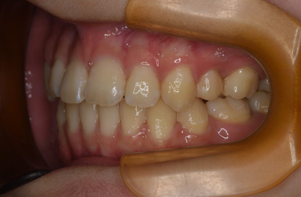
初診時年齢14歳の女性。上顎前歯の突出を伴う叢生のケース。
上顎前歯の乱れと突出を気にしておられました。審美的な矯正装置を希望されたため上顎舌側(裏側)・下顎唇側マルチブラケット装置を使用して、上下顎左右側小臼歯の抜歯による動的治療を行いました。乱れていた前歯を整えるとともに、突出していた上顎前歯の後退を行なうことが出来ました。
動的治療期間は2年9ヶ月間
歯並びが悪かったので、歯並びを良くしてたくさん笑いたいと思い矯正をはじめましたが、装置を付け始めてから少しずつ歯が綺麗に並んでいきとても嬉しかったです。また、歯がガタガタしていた時に比べて、見た目の口元の顔も変わった気がします。
治療の説明も丁寧ですし、先生やスタッフの方々みなさん優しくてここの医院で矯正をして本当に良かったです。ありがとうございました。














