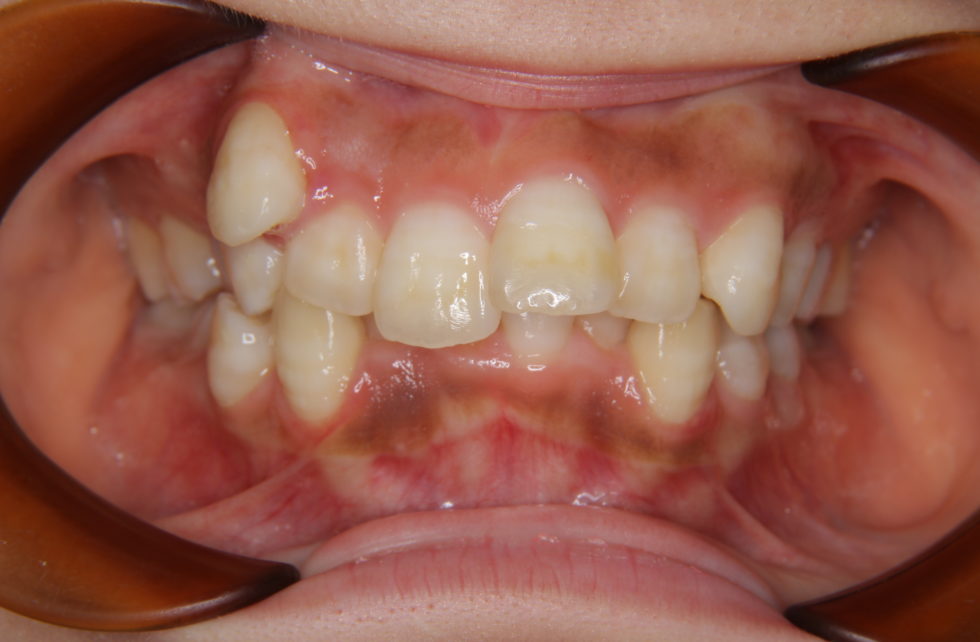
初診時年齢20歳の女性 上顎右側犬歯の低位唇側転位を主訴として来院された。
上顎右側犬歯は完全に歯列から外れて生え、また、左側中切歯は約7㎜突出していた。下顎前歯にも著しい叢生があった。セファロ分析の結果、著しい叢生を伴う骨格性上顎前突と診断し上下顎小臼歯を抜歯していただき、矯正用アンカースクリューを併用し、マルチブラケット装置を使用して動的治療を行った。矯正用ゴムなどの使用状況も良く良好な結果が得られた。歯の痛みはあったが2、3日で普通の食事ができるため過度な心配は必要がない。また、歯が動いていることが目に見えて分かるためモチベーションが保てたとおっしゃっていた。
動的治療期間2年0カ月(調整来院20回)
幼い頃は装置の見た目を気にして矯正することを拒んでいたのですが、ガタガタの歯並びがずっとコンプレックスでした。大学生になって、前よりもさらに歯並びが悪くなっているような気がして、矯正したくて仕方ありませんでした。昔、大人になったら矯正は難しいと言われたこともあって、もう手遅れだと思いこんでいたのですが、ネットでほりい矯正歯科を見つけて、大人でも多くの方が矯正をしていることを知り、すぐにカウンセリングの予約をしました。初診のときから丁寧に説明していただき、とても安心したことを覚えています。
矯正できると分かって本当に嬉しかったですし、装置を付けるのが楽しみでした。
私は上顎の1番の歯が大きくずれていたので、そこが揃っただけでもとても嬉しくて、まだ始まったばかりでしたが「矯正してよかった!」と気持ちが明るくなりました。調整した日はもちろん痛いですが、2,3日で普段通りの食事もできるようになるので、過度に心配する必要はないかなと思います。ガタガタだった歯が並んだり、抜歯したところの隙間が埋まったりと、歯が動いていることが目に見えて分かるので、モチベーションも保てました。コロナ禍でのマスク生活は大変ですが、見た目を気にせずにゴムかけを行えたのは良かったです(笑)
治療前の歯並びを思い出せないくらいに綺麗に並んで本当に嬉しいです。堀井先生をはじめ、スタッフの皆様には大変お世話になりました。明るい方ばかりで、毎月の通院も全く苦ではなく、むしろ楽しみでした。本当にありがとうございました。これからもよろしくお願いします!














