先天性欠如と歯科矯正
 
						こんにちは。コーディネーターの河合です。
近年、歯の本数が生まれつき少ない方が増えていることをご存じでしょうか?
今回は「先天性欠如と矯正治療」についてお伝えしたいと思います。
1.先天性欠如とは?
2.本数が少なくなる原因
3.発見するには?
4.先天性欠如がある場合の矯正治療
1.先天性欠如とは?
本来私たちの永久歯は全部で28本あります。親知らずが4本ある場合は32本です。
しかし永久歯の本数がもともと少ない方がいらっしゃいます。
この生まれつき永久歯の本数が少ないことを「先天性欠如」と言います。
乳歯の時から本数が少ない場合と、乳歯はあってもその下の永久歯が少ない場合があります。
また、乳歯が癒合歯(ゆごうし)の場合、必ずではありませんが永久歯の本数も少ないことがあります。
※癒合歯とは・・
隣り合う2歯、またはそれ以上の複数の歯がくっついている状態の総称
2.本数が少なくなる原因
先天性欠如の原因は
・遺伝によるもの
・薬の副作用や病気によるもの
・歯の退化現象として起こったもの
上記が影響しているのではないかと考えられていますが、原因は解明されていません。
日本小児歯科学会では10人に1人の割合でみられると報告されています。
欠如は、顔の中央から2番目の側切歯と5番目の第2小臼歯で多くみられます。
3.発見するには?
先天性欠如を発見するには、レントゲン撮影が必要です。
乳歯の下には歯胚(しはい)と呼ばれる永久歯のもととなる種のようなものがあります。
永久歯への生え変わり前でも、歯肉の中では準備が始まっています。
レントゲンでこの歯胚が確認できない場合は、先天性欠如の可能性が高くなります。
永久歯への生え変わりが途中のお子さんの場合はレントゲンを撮影しない限り、先天性欠如なのか、ただ単に永久歯への生え変わりがゆっくりなのかを判断することはできません。
その為、矯正歯科では事前にレントゲン撮影を含む精密診断を行ったうえで、治療開始や経過観察を決定します。
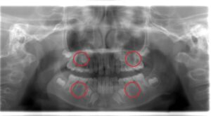
<上下左右5番目の歯(第2小臼歯)が先天性欠如です>
4.先天性欠如がある場合の矯正治療
永久歯の欠如により乳歯が残っている場合、いずれは抜けてしまう事も考えられます。この為、矯正治療を選択される事も多いです。
矯正治療を行う場合は、先天性欠如が何か所あるのか、何番目の歯か、また他の歯並びやかみ合わせがどのような状態かにより方針は様々です。
例えば永久歯が1本少ない場合は、残り3本抜歯し本数を合わせたうえでかみ合わせを整えるケースや、インプラントを行うスペースを事前に矯正治療でコントロールするケースもあります。
また、お子さんの場合は開始の時期も変わってきます。
症状によっては事前に準備を行うことで、その後の選択肢を増やすことが出来る場合もあります。
上記は一例です。歯並びや骨格にもより変わります。
先天性欠如があるかどうか、また先天性欠如があるのであればどの時期にどの様な矯正治療が必要なのか、まずは矯正歯科にご相談いただき、精密検査をお勧めいたします!
精密検査についてはこちらをご覧ください。


 
                             
                        













