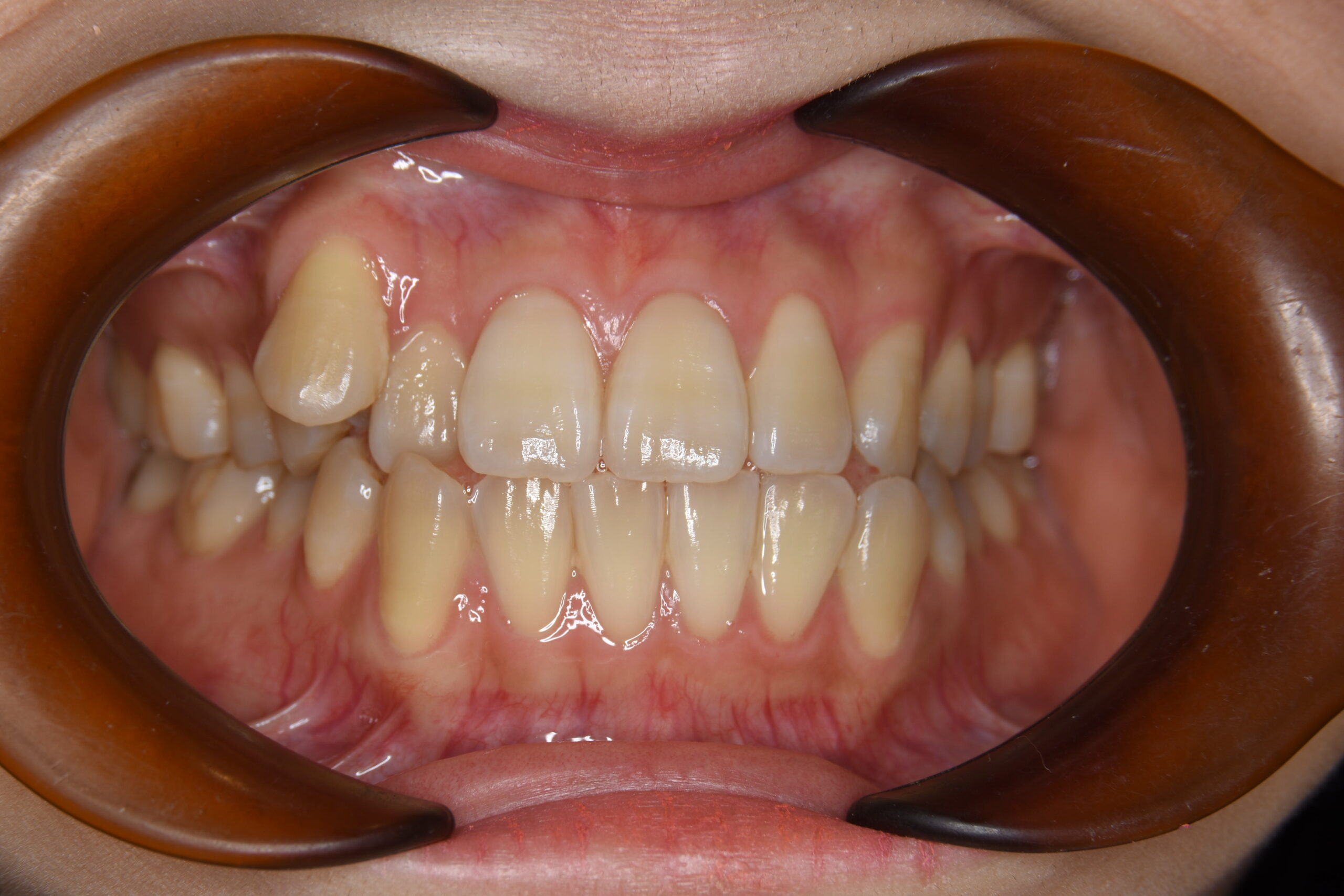
TREATMENT
M.Yさん 16歳
治療費用
95万円程度(税込)
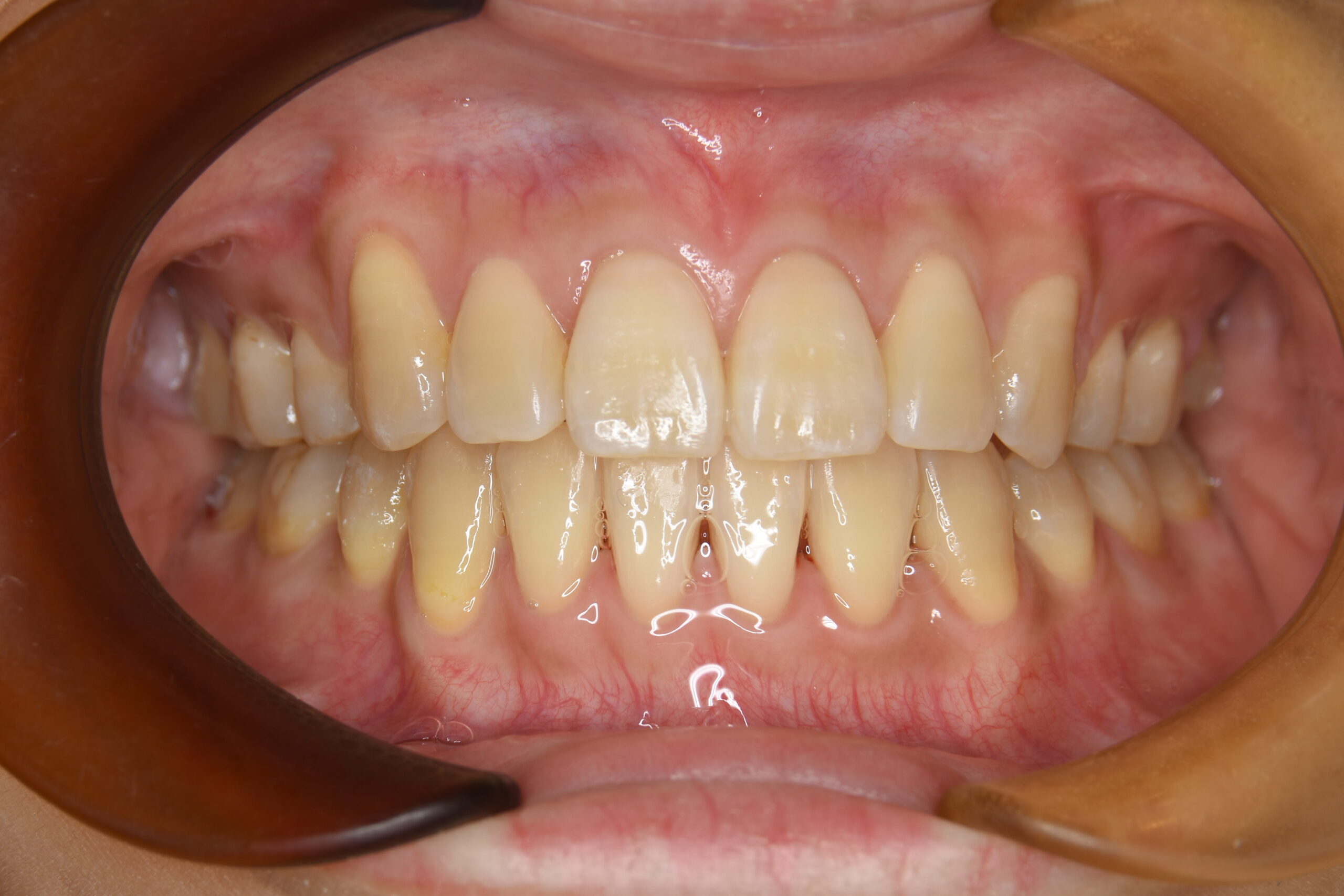
S.Nさん 37歳
治療費用
約100万円程度(税込)
O.Rさん 33歳
治療費用
90万円程度(税込)
K.Mさん 17歳
治療費用
100万円程度(税込)
N.Uさん 16歳
治療費用
95万円程度(税込)
M.Tさん 52歳
治療費用
95万円程度(税込)
H.Sさん 22歳
治療費用
95万円程度(税込)
S.Kさん 24歳
治療費用
95万円程度(税込)
S.Nさん 22歳
治療費用
130万円程度(税込)
K.Mさん 31歳
治療費用
95万円程度(税込)