TREATMENT
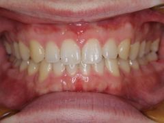
大津市在住 女性 T・Yさん 30歳
治療費用
130万円程度(税込)
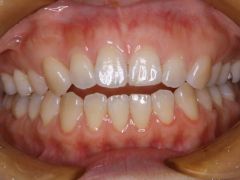
大津市在住 M.Tさん 24歳
治療費用
120万円程度(税込)
大津市在住 女性 K.Sさん 20歳
治療費用
110万円程度(税込)
T.Kさん 27歳
治療費用
110万円程度(税込)
F.Mさん 33歳
治療費用
120万円円程度(税込)
S.Sさん 26歳
治療費用
125万円程度(税込)
N.Yさん 29歳
治療費用
105万円程度(税込)
K.Tさん 18歳
治療費用
110万円程度(税込)
H.Mさん 33歳
治療費用
115万円程度(税込)
N.Tさん 40歳
治療費用
125万円程度(税込)