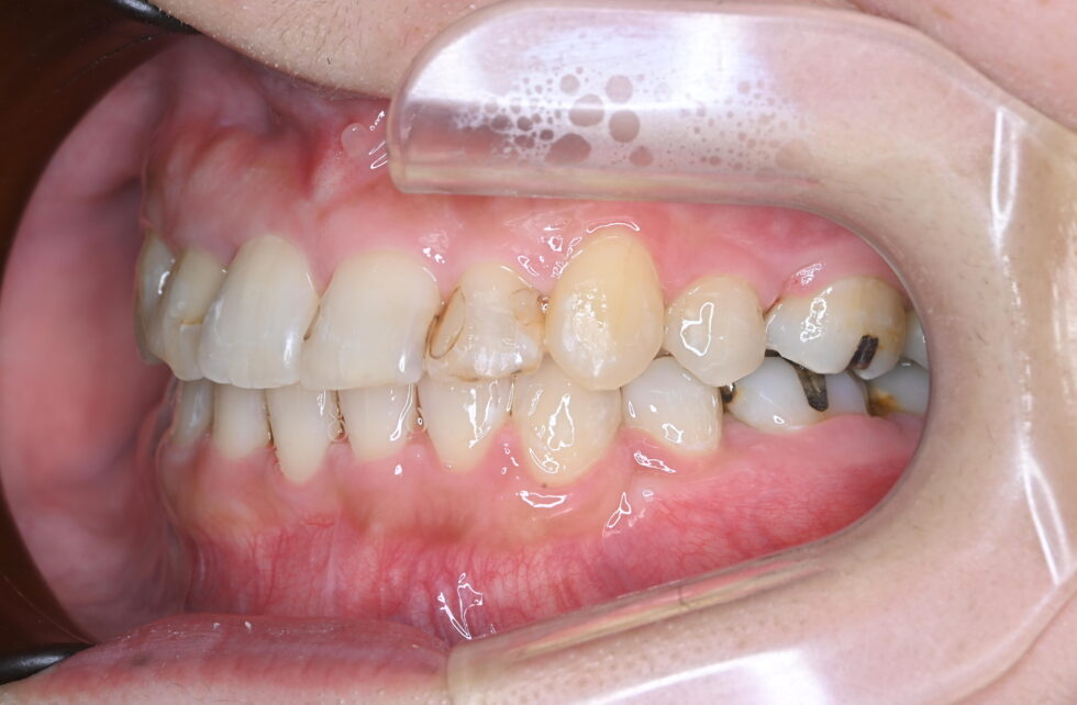
初診時年齢32歳の女性 前歯部の叢生と反対咬合を主訴にご来院いただいた
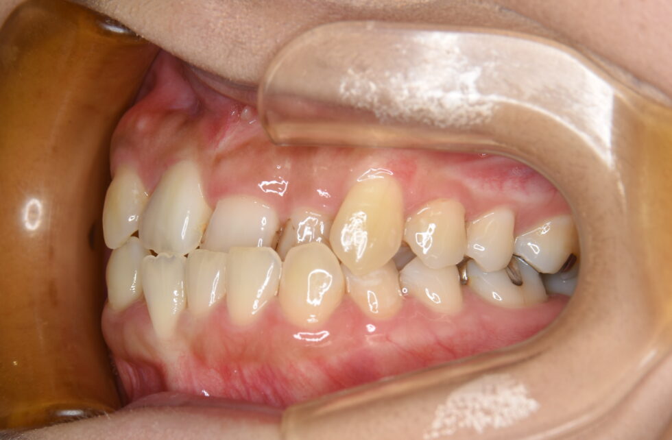
上顎は右側側切歯が口蓋側転位となり、その分上顎の正中線は右側へ4㎜程度偏位していた。また、右側第二小臼歯は残根状態で歯冠が無かった。さらに、左側中切歯、側切歯は反対咬合となっていた。上顎右側に矯正用アンカープレートを植立し、上顎は左右側第二小臼歯、下顎は左右側第一小臼歯を抜歯していただきマルチブラケット装置を使用して動的治療を行った。上顎右側側切歯が完全に口蓋側転位になっているにもかかわらず、残根となっていた第二小臼歯を抜歯する必要があったため、上顎右側第一小臼歯と犬歯の遠心への移動に時間がかかり動的治療期間は3年5ヵ月間を要した。(調整来院30回)しかし、可能な限り健全な歯を残すことができた。また、虫歯のリスクが高い方であったが歯列が整ったことでセルフケアがしやすくなった。
高齢になってからの治療でしたが、治療前・治療中もしっかりと説明やアドバイスがあり、安心して通院することができました。
高齢でもあり、元々歯に関して自信がなかったのですが、先生やスタッフのみなさんの前向きな言葉かけをいつもして下さった事が私が長い間通院できた一番の理由です。歯並びを治療したことで、気持ちも明るくなれました。本当にありがとうございました。治療中の妊娠・出産についても柔軟に対応して下さり本当にありがとうございました。














