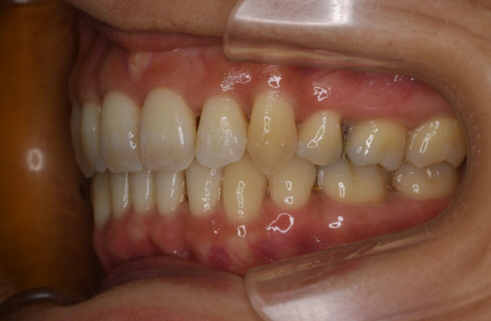
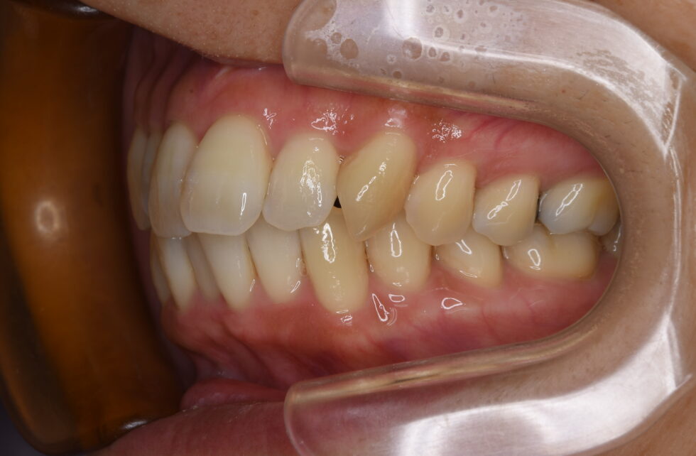
初診時年齢47歳の女性。叢生を伴う上顎前突のケース。
口元の形態および前歯の乱れを気にしておられました。マルチブラケット装置を使用して、上下顎左右側小臼歯の抜歯による動的治療を行いました。前歯の乱れを改善し、口元の形態を整えることが出来ました。
動的治療期間は2年1ヶ月間
口元の形態および前歯の乱れを気にしておられました。マルチブラケット装置を使用して、上下顎左右側小臼歯の抜歯による動的治療を行いました。前歯の乱れを改善し、口元の形態を整えることが出来ました。
動的治療期間は2年1ヶ月間
歯並びが気になり始めたのは20代の頃でしたが、思い切ってやってみようと思いました。
4本抜歯で健康な歯を抜く事に少し抵抗もありましたが、早くからやっておけばと思うほど結果に満足しています。
矯正中の歯みがきや食事の時に装置に食べ物が詰まる事のストレスが予想以上でした。
その代わり矯正前には適当にしていた歯みがきが、とても丁寧に出来るようになったのは本当に良かったです。
40代後半まで歪んだ口元だったためか体のいろいろな所も歪んでいるように思います。長年の蓄積は矯正が終了しても治っていくとは限らないと思うので、若いうちに整えておいた方が変な体の歪みやクセがつかなくていいのではないかなと思いました。














