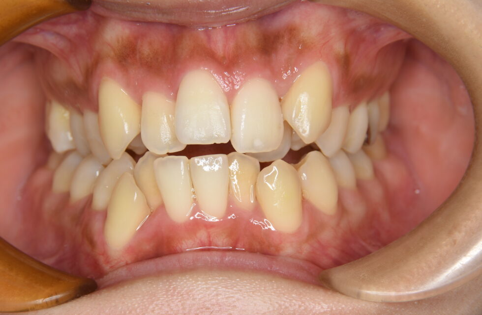
初診時年齢26歳の女性 上下顎前歯の叢生を主訴としてご来院いただいた。
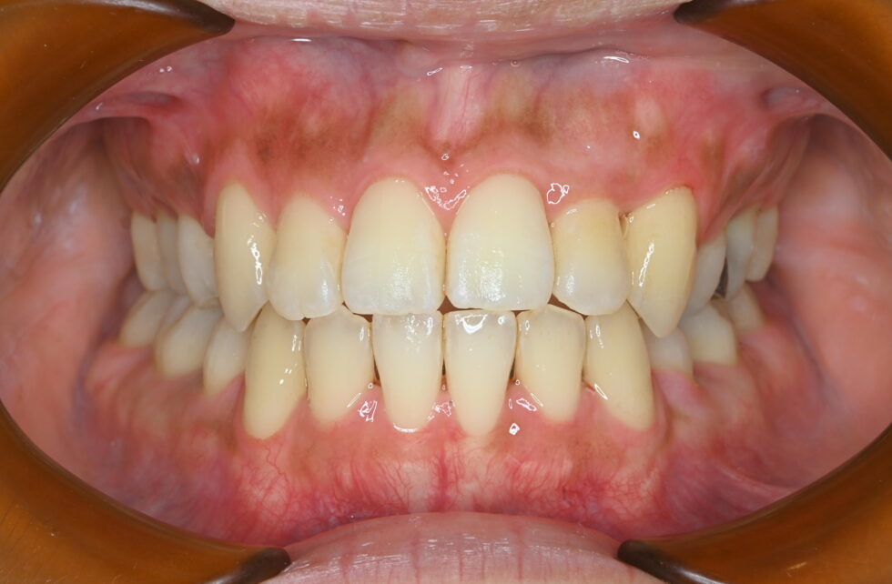
上顎左側側切歯が口蓋側へ転位し上下顎の正中線は下顎前歯1本分ずれていた。また、上下顎前歯には咬合接触が無く前歯部開咬となっていた。側貌セファログラムの分析の結果、中立咬合前歯部開咬を伴う叢生のケースと診断した。上下顎施用臼歯を抜歯していただき上顎舌側、下顎唇側マルチブラケット装置を使用して、矯正用アンカースクリューを併用して動的治療を行った。矯正用ゴムの使用や筋機能療法などの協力状態も良く2年11カ月で保定へ移行した。1本分ずれていた上下の正中も合致させることができた。調整来院29回 当初、歯周病へのり患を心配されていたが、装置装着中に問題になることはなかった。
大人になってから、親知らずが生えてきたり、友達が矯正治療を始めたこともあり、自分の歯並びが気になり、矯正治療を考えるようになりました。その頃、歯並びが悪いためか、年齢の割に歯周病がひどく、歯周病の治療をしている頃でした。歯周病が治ってから、きょうせいちりょうに踏み出そうと思いましたが、矯正治療をすることで、また歯周病がひどくならないかと心配し、何年も矯正治療に踏み出すことが出来ず悩んでいました。歯周病の先生、堀井先生には何度も相談しご意見いただきながら、勇気を出して矯正治療を始めました。治療の最初の方は初めての事ばかりで、不安と怖さがありました。はみがきもたいへんだったり、食事もいろんなところに引っかかったり、詰まったり、歯が痛かったり…食べるのが好きな私にとって、食事面はストレスになる事が多かったです。矯正治療と平行して一般歯科には1か月に1回通い、気になっていた歯周病の方も安心でした。矯正治療が進み、歯が並びかけてくると、歯並びが悪かったころに比べ、自信を持って笑うことが出来るようになりました。先生をはじめ、スタッフの皆さんが笑顔で丁寧に対応して下さるので、安心して、前向きに治療をすることができました。私自身、心配症で、最初は不安なことが多かったですが、キレイな歯並びになることができ、本当に受けて良かったですし。こちらで治療していただいたことに感謝でいっぱいです。装置が取れた今、ストレスなく食事をすることができており、本当に幸せで暴食気味です(笑)また、歯磨きの際は、歯1本1本を磨くことができ、とても感動しています。これからも自分の歯を大切にして過ごしていきたいです。














