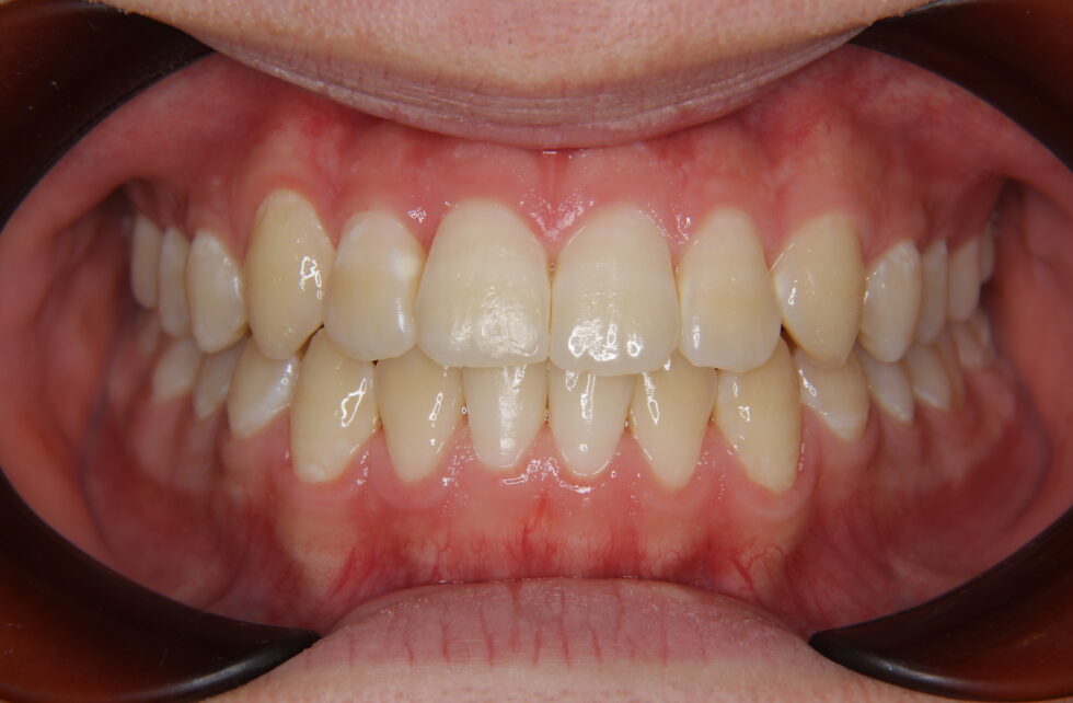
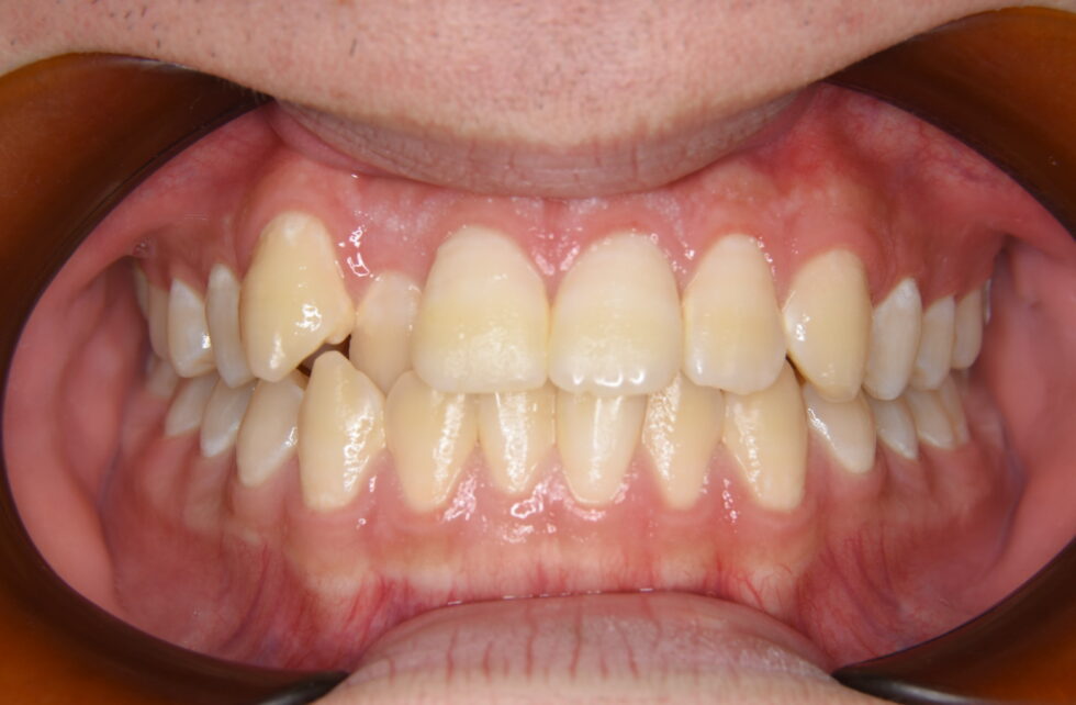
初診時年齢18歳の男性 上顎右側犬歯の唇側転位と側切歯の口蓋側転位を主訴としてご来院になった。
治療にはマウスピース型矯正装置を使用したいとのことであった。正中線もわずかに上顎が右へ偏位していた。下顎前歯にも軽度の叢生を認めた。下顎左側のみ智歯が埋伏していたため、これを抜歯していただき、大臼歯の遠心移動を行って配列余地を確保する計画を立てた。当初のマウスピースは35枚、追加マウスピース11枚を使用して動的治療を行った。また、動的治療期間は1年4か月間 調整来院7回
歯並びが少し気になって歯を見せて笑うのに抵抗があり、治療を受けようと思いました。実際に治療を受けて歯を気にせず写真を撮れるようになりました。治療自体も基本的に装着しておくだけで全く難しくなく、マウスピースが透明で装着していることもわからないくらいだったので周りの目も気にしなくて済んだのはとてもよかったです。














