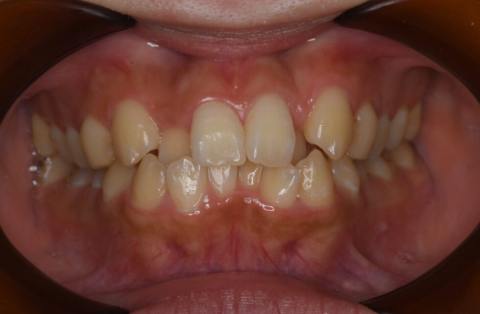
初診時年齢26歳の女性。正中の不一致を伴う叢生のケース。
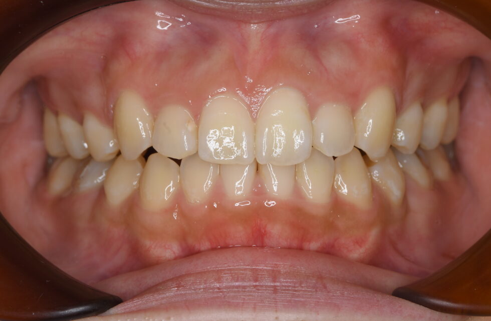
前歯の乱れを気にしておられました。審美的な矯正装置を希望されたため上下顎舌側(裏側)マルチブラケット装置を使用して、上下顎左右側小臼歯の抜歯による動的治療を行いました。前歯の乱れを解消し、正中も一致させることが出来ました。
動的治療期間は2年3ヶ月間
前歯が叢生でした。が、それなりに気に入っていたので幼少期には治療しませんでした。
しかし、大人になるにつれ、顎が疲れやすかったり、前歯で食べ物が噛み切れないことに嫌気がさし…。そしてコロナで常時マスク生活で口元を隠せるということもあり、治療することにしました。調べてみると裏側矯正なるものがあり、ぜひその装置でと思いましたが、扱っている歯科がなかなかなく…。ようやくたどり着いたこちらの医院でお世話になることとしました。
矯正はじめは痛みなどからこれが数年も続くのか…と後悔しかけることもありましたが、日に日に綺麗になっていく歯並び、そして毎回気持ちの良い対応をしてくださる皆さまのおかげで、あっという間に装置除去までたどり着くことができました。感謝!現在はリテーナー装着中です。もう少しよろしくお願いします














