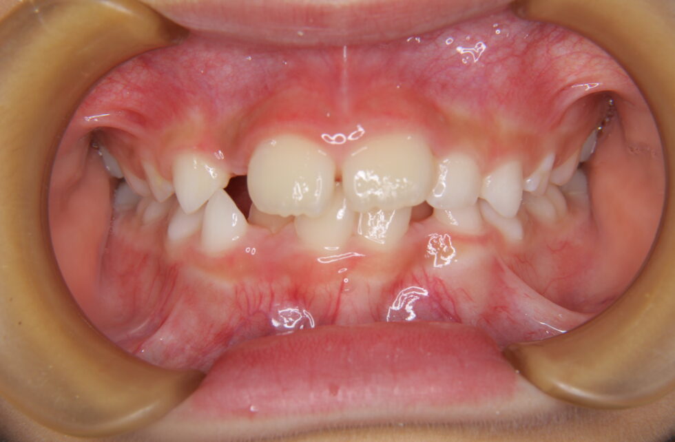
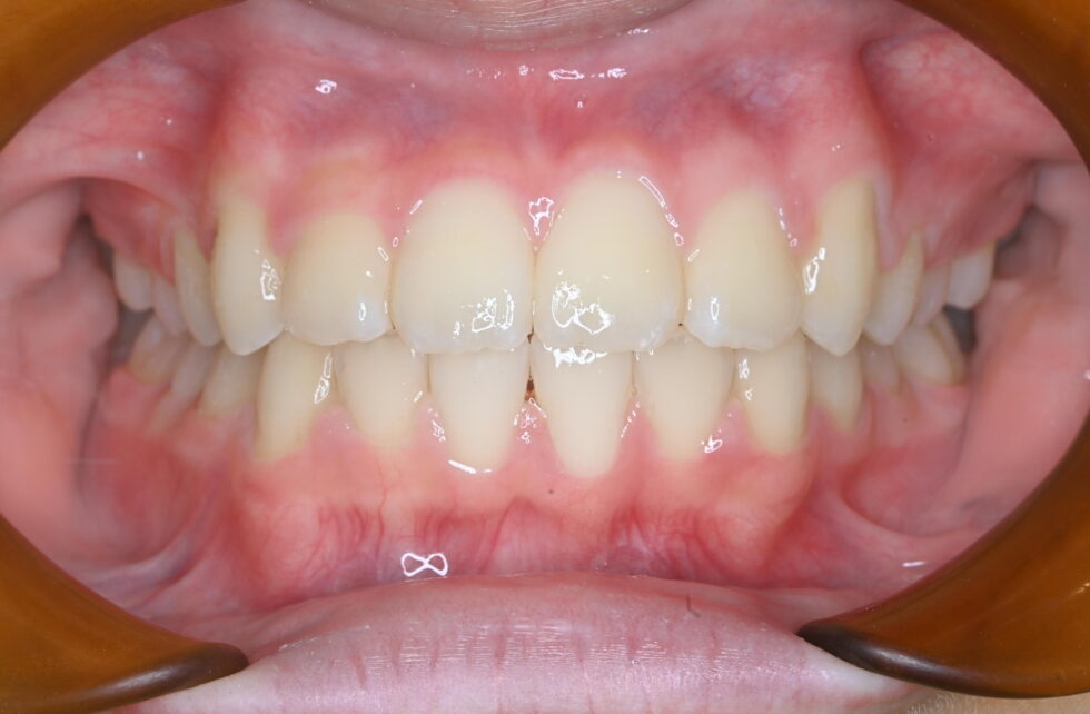
初診時年齢8歳の女子 下顎前歯部の叢生を主訴に来院された。
永久歯の配列余地が著しく不足していたが、上下顎の前後的なずれはなく中立咬合の叢生と診断した。Ⅰ期治療を7か月間(調整来院6回)行い、経過観察期間を経て13歳から上下顎マルチブラケット装置を使用して非抜歯でⅡ期治療を行った。Ⅱ期治療は来院間隔が長く2年6か月間を要したが、調整来院は14回であった。動的治療期間はⅠ期Ⅱ期合わせ3年1カ月間、調整来院は20回であった。
まずは約7年間お世話になりありがとうございました。ここのスタッフさんはみんな明るく、優しく、とてもいい場所だと思っていました。スタッフさんは私の部活の話や好きな俳優さんの話など何でも聞いてくださるので、普通なら歯医者に行くのは嫌だと思うけど私は全然そんなことなくてむしろ毎回楽しみでした。痛い治療もたくさんあったけどここでだったから頑張れたんだと思います。本当にありがとうございました!!
治療を受けようと思った理由は覚えてないけど、多分お母さんにすすめられたからだと思います。治療を受けてよかったことはやっぱり歯並びがきれいになって、治療を受ける前よりさらに全力で笑えるようになったことだと思います。治療を受ける前と後で変わったことは歯磨きです。しっかり歯磨きの指導まで行って下さるのでていねいに歯磨きするようになりました。ここのスタッフさんは本当に優しく1つ1つていねいなので、心配することはないと思います。またいつもきれいに保たれているので安心して通うことが出来ます。治療が終わった後のサプライズ(?)みたいなのも嬉しかったです。痛いことや我慢しなければいけないこともあるけど、絶対に綺麗な歯並びになるし、全力で笑えるようになるので安心して治療を受けて下さい♡














