K.A

最後までやりきれば楽しい未来が待っています!!

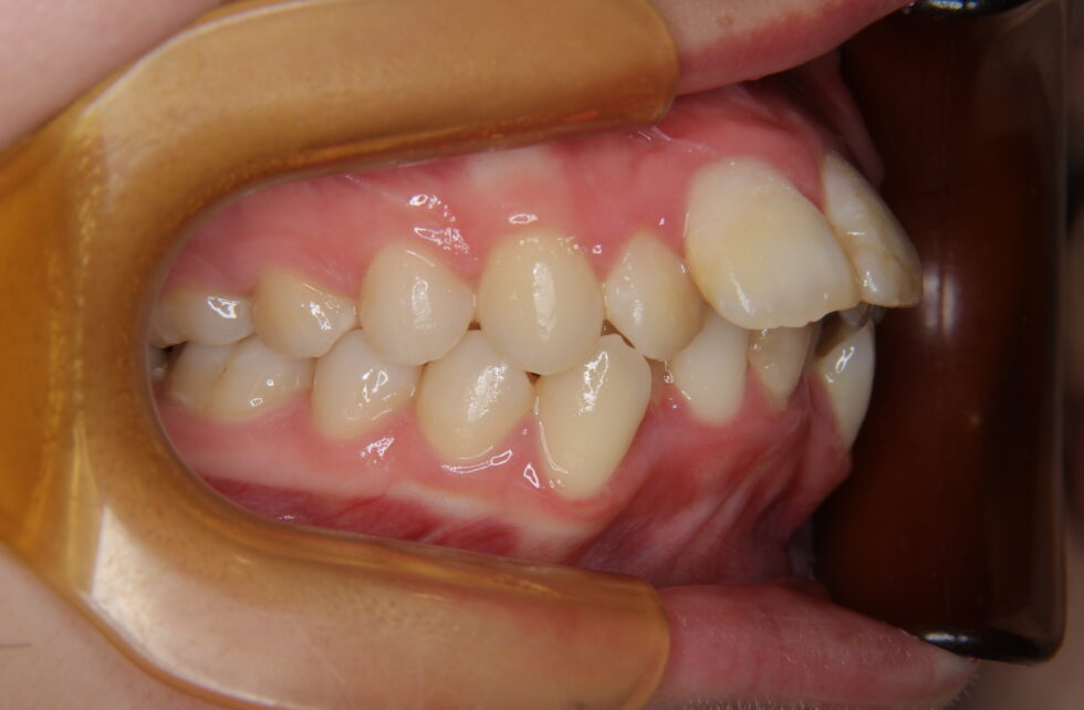
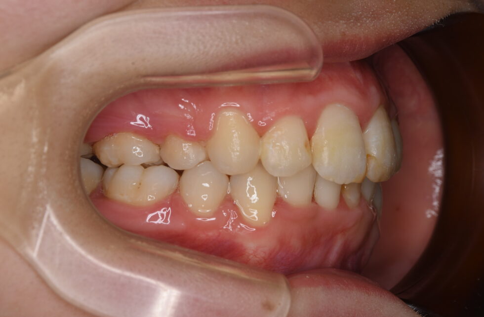
初診時年齢18歳の女性。叢生を伴う上顎前突のケース。
前歯の突出と乱れを気にしておられました。マルチブラケット装置を使用して、上下顎左右側小臼歯の抜歯による動的治療を行いました。突出していた前歯を後退し、乱れも改善することが出来ました。動的治療期間は2年10ヶ月間

治療費用

95万円程度(税込)円程度(税込)

矯正治療には以下のようなリスクがあります。

  • ・歯の移動を行う際の痛みが生ずる場合がある。
  • ・ブラッシングが十分行わなかった場合に虫歯ができることがある。
  • ・歯の移動を行うと極めて希に根の吸収が起こることがある。
  • ・矯正用ゴムを指示通り使用しないと計画している歯の動きが得られないことがある。
  • ・装置が粘膜を刺激することで口内炎が起こることがある。
  • ・歯の裏側の装置の場合、装着後数日は発音障害が出ることがある。