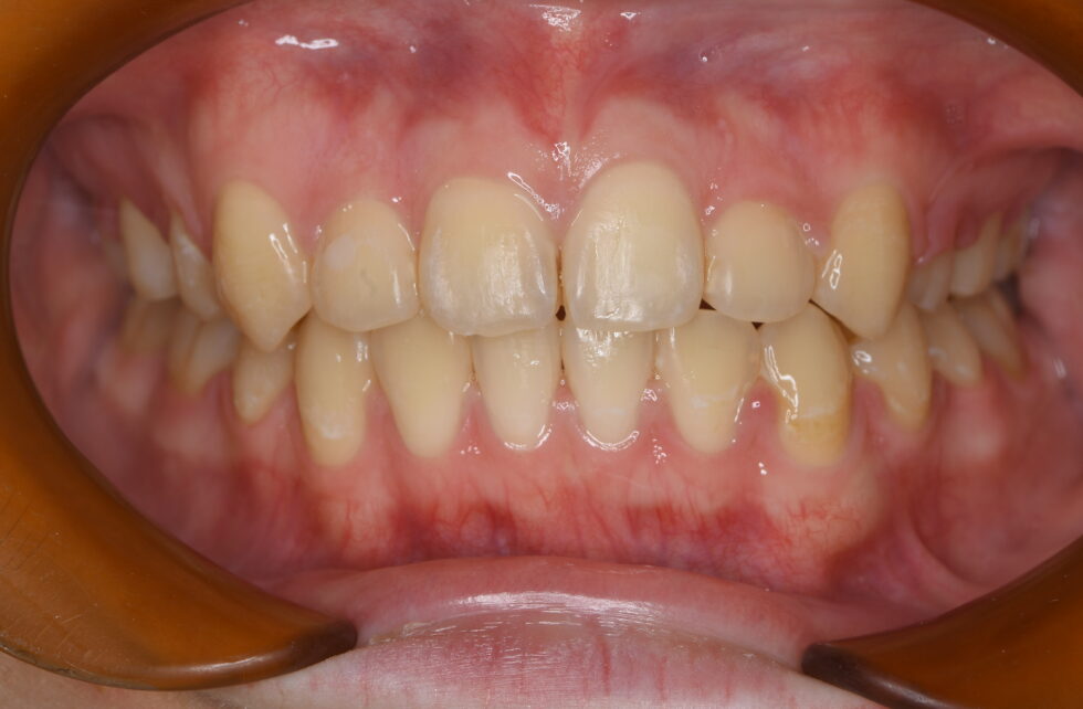
初診時年齢17歳の女性。開咬と正中の偏位を伴う叢生のケース。
前歯の乱れと咬み合わせを気にして来院されました。
上顎左右側第一小臼歯、下顎右側第二小臼歯の抜歯を行って頂き、マルチブラケット装置を使用して動的治療を行いました。
嚥下時に舌の突出癖があったため、筋機能療法を併用して治療を進めました。
前歯の叢生と正中の不一致を改善し、咬み合っていなかった前歯を咬み合わせることが出来ました。
動的治療期間は3年3ヶ月間
小学生の頃にも矯正をしていたので、高校生になってからもう一回するのは気が重たい部分もありましたが、終わってみると本当にやって良かったと思いました。
ワイヤー矯正のため、毎月歯が並んでいくのが目に見えて分かりモチベーションにも繋がりました。スタッフの方も話しやすいかたばかりで、医院の雰囲気も良く、あっという間の約3年でした。治療の最後のほうは「気になること」や「もう少しこうしたい」などの希望を詳しく聞いてくださり、納得して終わることができました。
最初のカウンセリングの際に、舌のトレーニングもすすめてくださったおかげで、舌がどれだけ歯を押していたかわかりましたし、今でも気を付けようと意識しています。
装置がとれた日には、お花とbefore、afterの写真付きのメッセージやカードをいただいて、こちらの医院に決めて良かったと思いました。
これから治療を受ける方にはぜひおススメしたいと思います。














