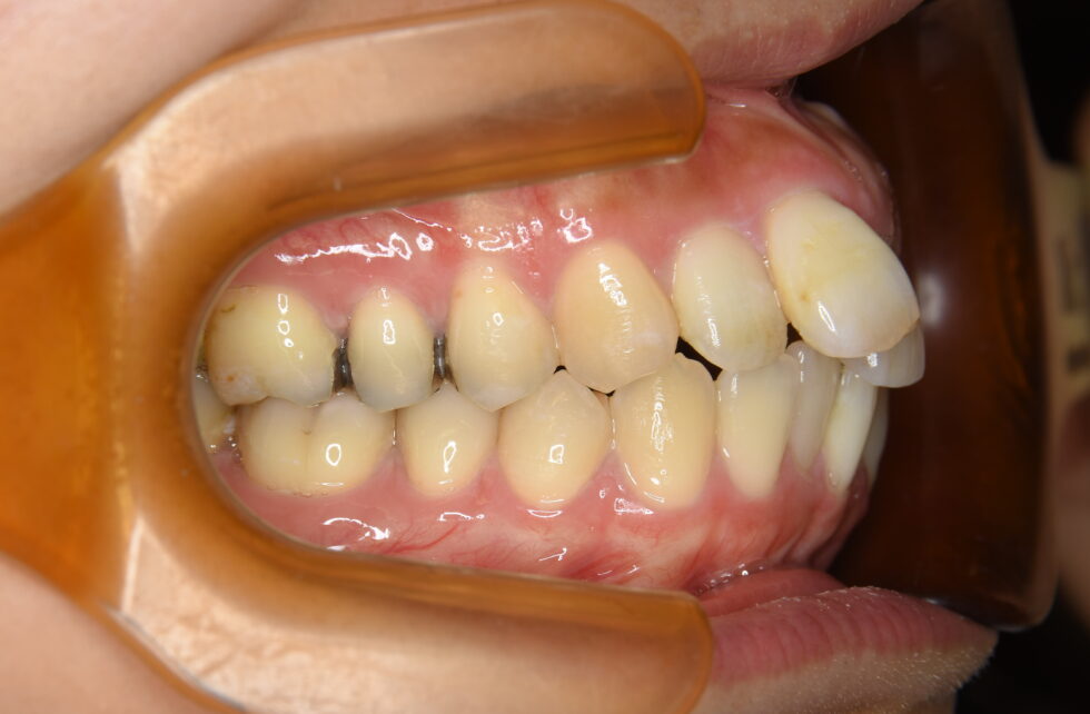
初診時年齢32歳の女性 上顎前歯の突出と下顎前歯の叢生を主訴としてご来院いただいた。
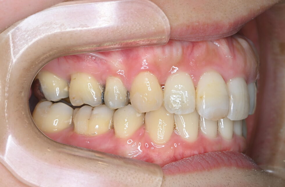
上下顎前歯は全体的に前方へ傾斜するように突出し、中でも上顎右側中切歯が特に捻転して突出していた。また、口元の突出があり、非常に気にされていた。患者さんはカスタムメイドマウスピース型矯正装置(以下アライナー)による治療を希望された。セファログラムなどによる診断の結果、叢生を伴う上下顎前突と診断し、上下顎小臼歯抜歯を行っていただき、アライナーを使用して動的治療を行った。前歯の後退が行われるとともに口元の形態も改善した。動的治療期間3年9カ月間 アライナーの枚数99+35枚
今、鏡に映る自分を見た時に「歯を見せて笑う顔ってやっぱり素敵だなと思える様になれたのは本当に嬉しく思います。子どもの頃から歯並びを気にしない様にと呪文のように自分に言い聞かせてきました。自分にとっての大きなコンプレックスを紛らわすためにメイクやオシャレを勉強してみたりと「歯並び」や「矯正」以外のところで努力をしてきた青春時代でした。親にも費用がかかる為なかなか言えずにいました。大人になり美容の仕事につきお客さまと鏡越しで話す自分の口元がより気になり始め、コロナ禍もありマスクで隠すことと外した時のギャップにすごく抵抗を感じる様になり、本格的に矯正を調べるようになりました。その時にマウスピースで矯正が出来る事を知り、装置の見た目にも抵抗があった私には希望の光でした。
調べていくうちにこちらの医院と出会い隅から隅までHPを拝見し思い切って電話をしました。スタッフの方や先生もすごく温かく、即決で決めた事を今でも覚えています。
全て先生におまかせします!と、いつも大きな船に乗っている気分でした(笑)
初診から4年半以上たっている事を知ったのは本当に最近の話で、保定に移る際もアタッチメントやフックをはずしていくのが少しさみしいなと思えてしまうくらい私の一部になっていました。抜歯やフックの痛みはありましたがそれ以外での痛みはほぼ皆無で道のりは長かったですが本当に負担が少なく変化していく様子が楽しかったです。
今、現在歯並びで悩まれている方、「矯正」を後回しにするより「今から始めよう」と是非決断してほしいなと思います。費用も高額ではありますが、最高の自分への投資になるのは間違いありません。こう思えるのも「ほりい矯正歯科クリニック」のほりい先生、衛生士さん。スタッフの皆さまのおかげです。これからの人生で私の大きなコンプレックスを取り除いていただき心から感謝します。本当にありがとうございました。これからは保定期間になりますが、サボらず、きれいな歯並びを大事にしていきたいと思います。














