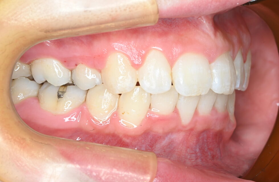
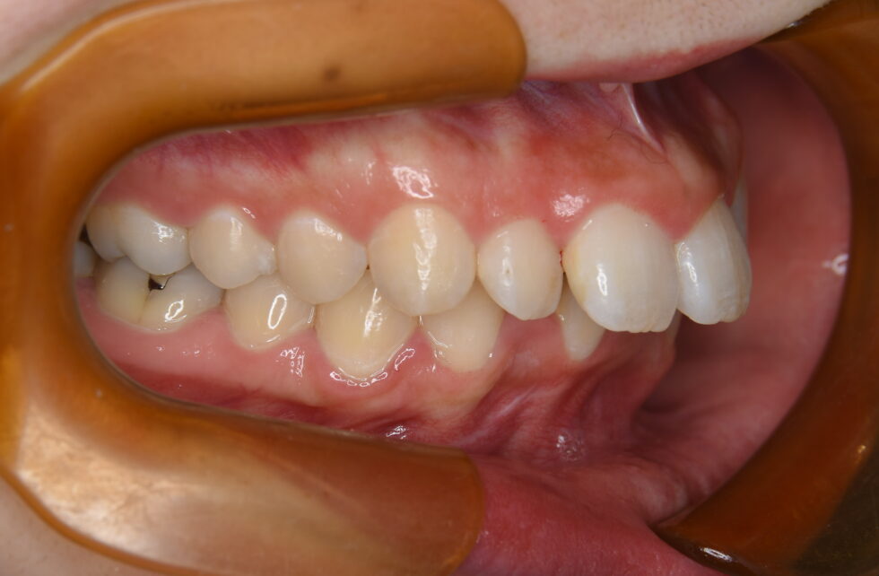
初診時年齢29歳の女性 上顎前歯の前突と下顎前歯部叢生を主訴にご来院いただいた。オーバージェットは9㎜で特に左右中切歯が前方へ傾斜するように突出してた。下顎前歯は叢生となり左側第二小臼歯も舌側へ倒れていた。セファログラム他の分析をもとに下顎前歯部叢生を伴う骨格性上顎前突と診断した。上顎第一小臼歯、下顎第二小臼歯を抜歯していただきマルチブラケット装置を使用して動的治療を行った。矯正用ゴムの使用など協力状態も良く良好な結果を得ることができた。
動的治療期間3年0カ月
動的治療期間3年0カ月
治療を受けようとおもった理由は
(ご本人様)
小動物に例えてよくいじられてきた前歯を、一時は「ネタになるこの歯も個性!」と無理やりポジティブに捉えたこともありましたが、前歯に隠れた下の歯の乱れも認識した学生の頃から深刻に悩み、会う人、テレビに映る人の歯並びを見ては「良いな…」と脳裏で鬱々としていました。家庭の事情などもあり、「どうせいつかは土に還るし…」と極端な諦め方をしようとしても踏ん切りがつかず気づけば数十年も堂々巡り…。
きっかけは、結婚数年後、この悩みを聞いてくれた夫が背中を押してくれたことです。
綺麗な歯並びで過ごせる時間は、治療開始が早いほど長くなるし、虫歯リスクを下げ将来の歯を守りたい。何より、口元を気にせず思い切り笑いたい!諦める理由よりも本音に耳を傾けることができてやっと前に進めました。
治療を受けて良かったことは
(ご本人様)
歯が動いてる…!整ってきてる!?と都度感動でした。以前ならあり得ないのに、今は歯を見てほしいと思えるほど鏡を見て「い~」とか「あ~」とかあっち向いてほいとしては一人ウキウキしています。(実際に家族に見てもらうこともあります。笑)人の歯を見てもやっぱり綺麗な歯並び最高♪と一緒に嬉しい気持ちになったり、前は見るたびに気持ちが凹んだ食べ物をかじった跡も、なんとまんまるなくり抜き具合!とうっとりため息をついてしまったりするくらいです。心底、本当に、良かったと実感しています。丁寧な治療に感謝感激です。
(ご本人様)
歯が動いてる…!整ってきてる!?と都度感動でした。以前ならあり得ないのに、今は歯を見てほしいと思えるほど鏡を見て「い~」とか「あ~」とかあっち向いてほいとしては一人ウキウキしています。(実際に家族に見てもらうこともあります。笑)人の歯を見てもやっぱり綺麗な歯並び最高♪と一緒に嬉しい気持ちになったり、前は見るたびに気持ちが凹んだ食べ物をかじった跡も、なんとまんまるなくり抜き具合!とうっとりため息をついてしまったりするくらいです。心底、本当に、良かったと実感しています。丁寧な治療に感謝感激です。














