初診時年齢15歳の女性 上下顎前歯の叢生を主訴としてご来院いただいた。
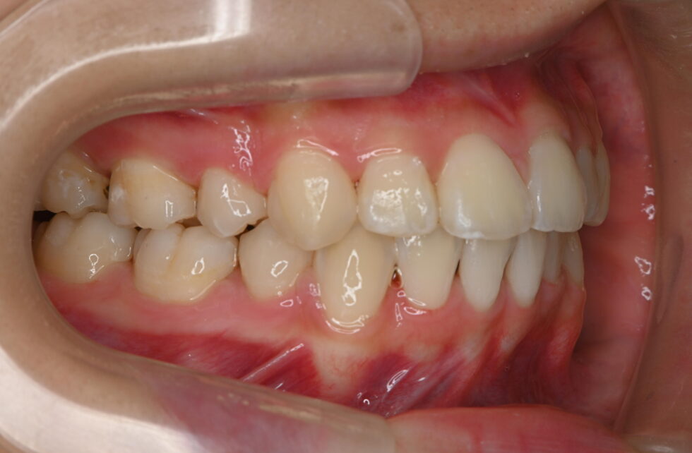
上下顎前歯が重なり合って生えており、上下顎歯列の配列余地の不足量は上顎で約9mm、下あごで約8mmであった。セファログラムなどによる診断の結果、叢生を伴う歯槽性上顎前突と診断した。上下顎第一小臼歯抜歯を行っていただき、マルチブラケット装置にホールディングアーチを併用して動的治療を行った。治療中に親知らずも萌出してきたため抜歯を行っていただいた。矯正ゴム等の協力状態も良く、上下の前歯の叢生は改善し、良好な結果を得ることができた。動的治療期間2年5カ月間
小さい頃から歯科健診で毎回引っかかってしまうくらい歯並びが悪く、顎が小さいため歯が重なり合って上手に磨けず虫歯になってしまうことも多かったです。
「矯正は痛い」と聞いていたため、なかなか勇気が出なかったのですが、友人の綺麗な歯並びを見て、「自分も綺麗になりたい」と感じ、高校1年生の夏ごろからクリニックに通うことになりました。
矯正をするにあたって、私は上下4本、後に親知らず4本の計8本の歯を抜きました。抜いたときの痛みはほとんどなかったですが、ワイヤーを付けるようになってからは授業中でも少し口を動かせば痛みがあるほどでした。最初の1か月は慣れるのが遅く、飲むタイプのゼリーや雑炊など柔らかいものしか食べられず、とても苦労しました。痛みは時間が経つにつれ減っていきましたが、当時は喋ることが億劫だったのを覚えています。
集合写真などで笑うと歯並びが悪いのが目立って上手く笑うことができなかったのが、今では思いっきり笑うことができるようになりました。
リテーナーは取り外しが出来るようになった分、飲食に気を使わないといけなくて、よく取り外すのを忘れたり、逆に付けるのを忘れたり。これも慣れていくにつれ、癖のように深く考えなくても出来るようになりました。
歯を抜いたり、痛みが強かったりとたくさん不安がありましたが、家族や友人、そしてクリニックのスタッフの皆さんに支えてもらい、だんだん綺麗になった歯を見るのが楽しみになっていきました。高校在学中の3年間でここまで綺麗になるとは想像もしていませんでした。どうしてもっと早く始めなかったんだろうと今は思っています。
綺麗になった歯並びで、これからの生活を楽しんでいきたいです。














