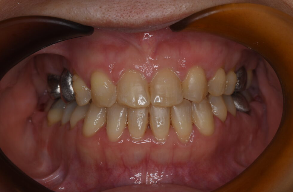
初診時年齢52歳の女性 前歯部の反対咬合を主訴にご来院いただいた。
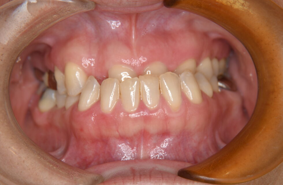
全ての前歯部が反対咬合となって、上顎左右側側切歯は先天欠損、上顎右側第一大臼歯は欠損してブリッジによる補綴処置が行われていた。セファログラム他の分析を行い骨格性反対咬合と診断した。矯正治療単独では被蓋の改善が十分行えないと評価し、顎離断術を併用した外科矯正を計画した。先天欠損である上顎側切歯部の空隙を閉鎖するように術前矯正を行い顎離断術を行った。手術後、術後矯正を行い保定へ移行した。前歯部の被蓋は改善し、上顎前歯の空隙の閉鎖が行われた。動的治療期間:術前、術後合わせ3年8カ月間
私は受け口と上の前歯の2番目が両方欠損していて、歯を見せて笑えないというコンプレックスがありました。どの写真を見ても口を閉じているか不自然な笑顔が嫌でした。本当なら20代とか30代で始めたかった矯正ですが歯並びだけ治しても受け口は治らないことを知って悩んで何年も何年のいい方法はないかと思っていました。10年近く前に手術で受け口は治ると見た広告は美容整形。しかも1日で?うそ!何か怖いと思っていたら、YouTubeで顎変形症という病気があると知って1つ1つ自分の顎を見て思い切って診察してもらえるかTELしました。
診察してもらえて病院での診断で顎変形症との事で矯正がSTARTしました。装置が付くまで私の歯に問題もありましたが何とか装置も付き、食事もしにくい生活はしんどかったですが、自分の歯が動いているのが嬉しかったです。R6年11月18日のSSROの手術も無事に終わり受け口が受け口ではなくなったし、歯並びもキレイになりました。
R7年10月3日には装置卒業できリテーナー装着になりました。
私の目標は還暦で写真を撮る時に思いっきり笑顔で歯を見せたい。まだまだ先なんですけどね(笑)
ワイヤー調整の時、いつも先生もスタッフさんも気軽に接してくれて50代で始めた矯正は勇気を出してTELして良かったです。
普段は介護職なので歯は大事!と言う認識があるので、これからもせっかくキレイになった歯並びを守りたいです。














