初診時年齢54歳の女性
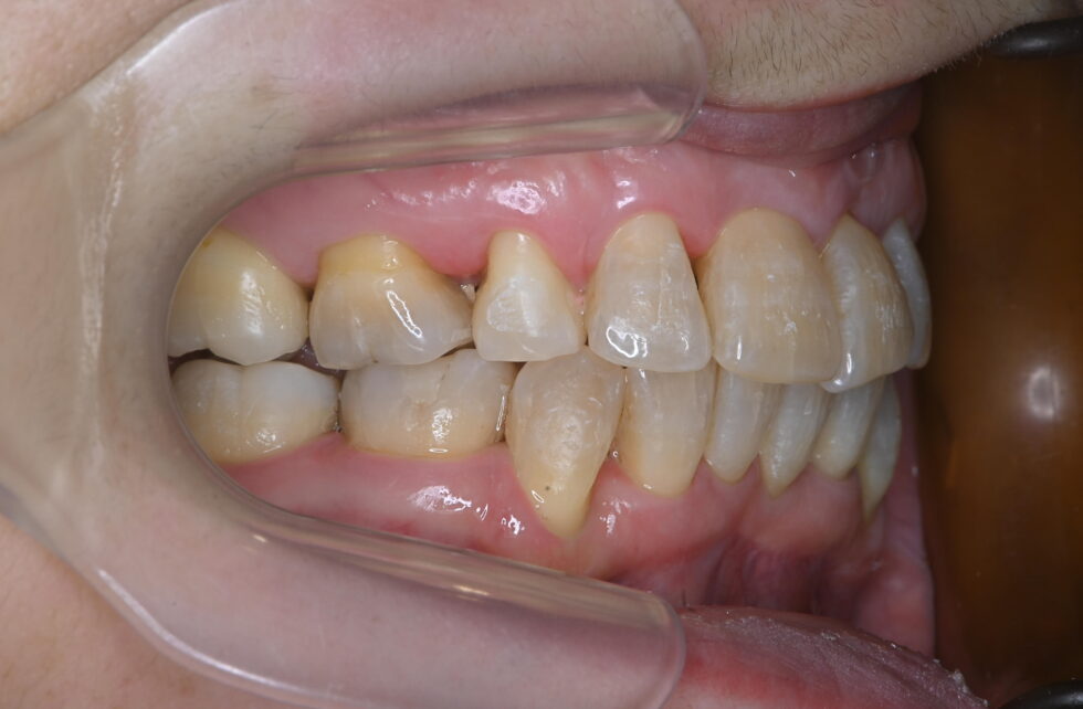
上顎前突と上下顎前歯部の叢生を主訴にご来院いただいた。大臼歯関係は前後にずれのないⅠ級関係であったが、上顎前歯は下顎前歯より約10㎜突出し、さらに左右側切歯と犬歯が重なり合って生えていた。下顎は左右側第二小臼歯(5番目)が左右共に欠損しておられ、且つ左右犬歯は歯列から外れ八重歯の状態であった。前歯はかみ合っておらず、水平的な開咬状態であった。側面セファロの分析では下顎が著しく後退して骨格性上顎前突と診断した。分析値を考慮すると、通常であれば顎離断術を併用して外科矯正が第一選択となるが患者さんの年齢も考慮して矯正単独で行うこととした。
抜歯が必要になることから、抜歯部位は上顎左右側側切歯(2番目)、犬歯(3番目)、下顎左右側第一小臼歯(4番目)として上下顎マルチブラケット装置を使用して、筋機能療法を併用して動的治療を行った。
全くかみ合っていなかった前歯がかみ合うようになり、トウモロコシなど食べやすくなったとのことであった。調整来院21回 動的治療期間2年6か月間
小学生のころから八重歯+ひとつひとつ歯も大きく、前後に重なった歯がたくさんありコンプレックスとなっていました。
30才ごろ歯の矯正をしようと近くにあった病院で矯正前にと親知らずなど数本抜歯が終了したころ主人の転勤と出産などで矯正が出来ないままストップ。それから25年ずっと歯並びにコンプレックスをかかえたまま過ごしてきました。コロナになりマスク生活の間に矯正をしようと今回堀井先生にご相談、抜歯、器具やゴムかけ、いろいろ大変なことはありましたが、ほとんど痛みもなく動的治療を終えることができました。通院は先生やスタッフの皆さまの明るさにはげまされ、舌のトレーニングも苦手なところが出来るようになったらほめてくださり、がんばれました。本当にありがとうございました。
50才を過ぎてからの矯正、勇気を出して良かったです。今は前歯でしっかりとかむことがうれしくて、特に「とうもろこしが」が食べやすくなったり、写真撮影では自信をもって歯を見せての笑顔ができることなど、日々矯正をしてよかった!楽しい!と思えることが多々あります。
きれいになった歯並びをくずさないようにしっかりとリテーナー装着期間を過ごしていこうと思います。これからもよろしくお願いします。














