TREATMENT
N,Yさん 33歳
治療費用
140万円程度(税込)
H.Rさん 33歳
治療費用
105万円程度(税込)
S.Tさん 14歳
治療費用
105万円程度(税込)
H.Yさん 25歳
治療費用
120万円程度(税込)
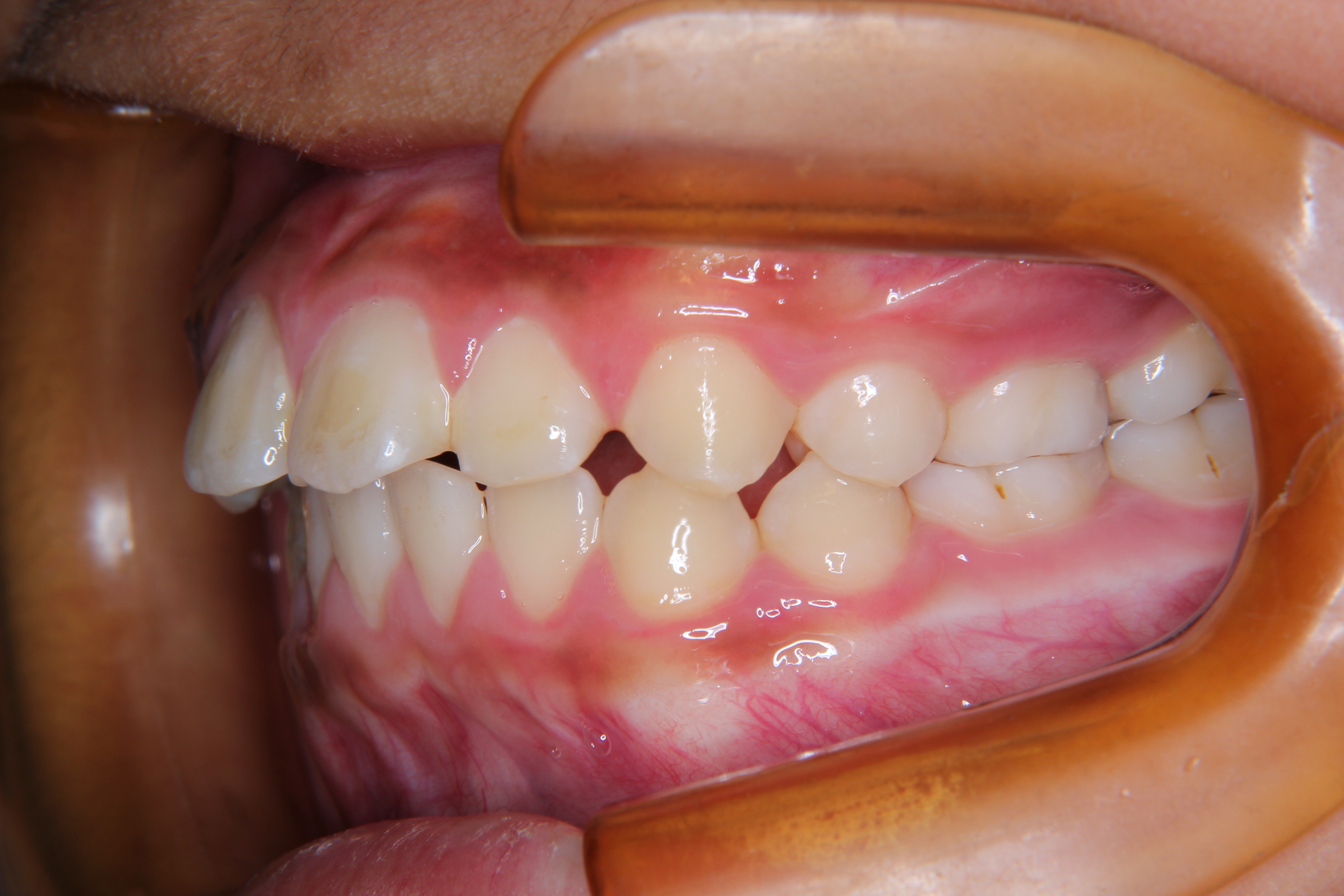
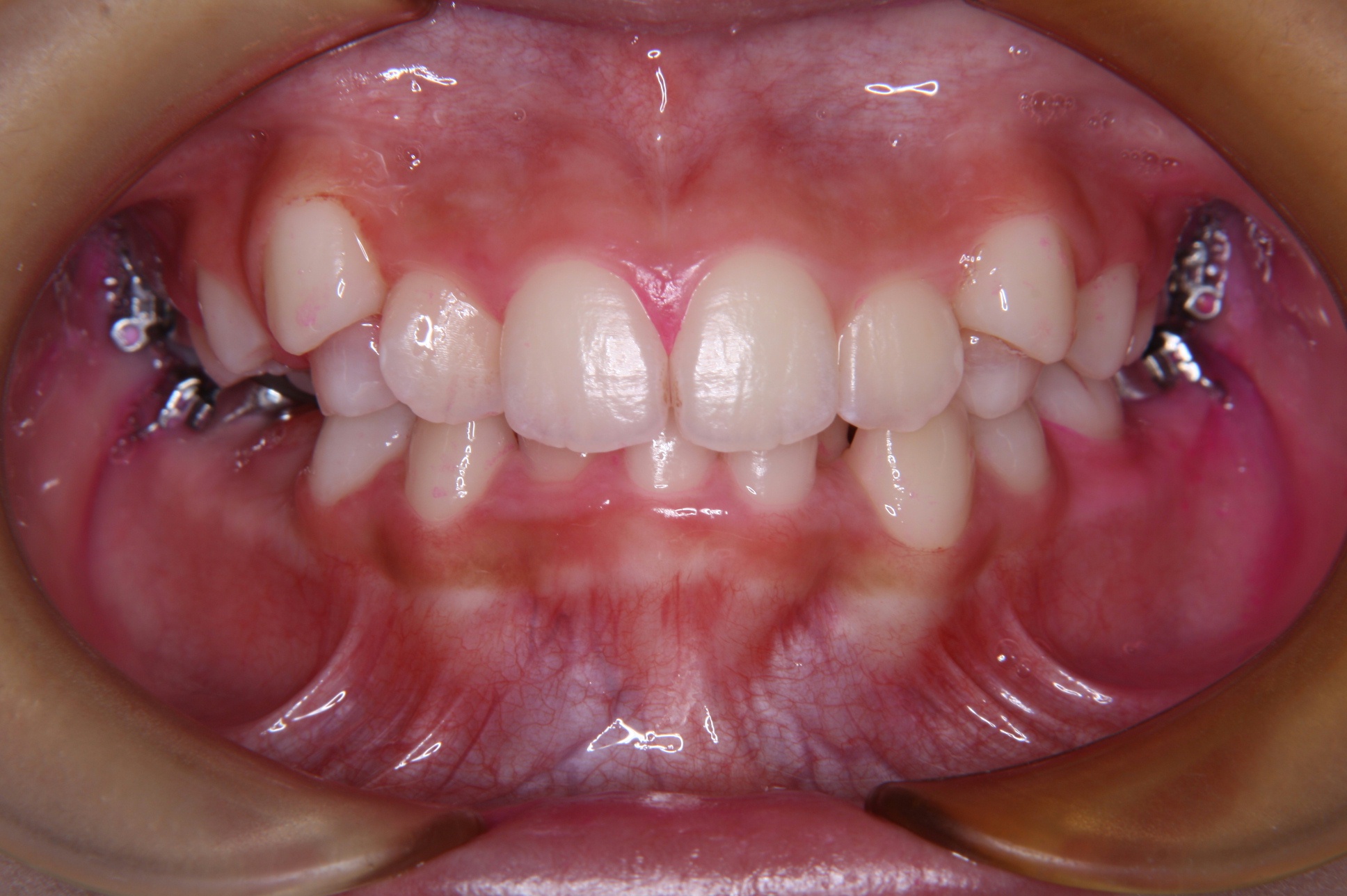
M.Yさん 16歳
治療費用
95万円程度(税込)
S.Nさん 37歳
治療費用
約100万円程度(税込)
K.Kさん
治療費用
95万円程度(税込)
O.Rさん 33歳
治療費用
90万円程度(税込)
T.Sさん 24歳
治療費用
120万円程度(税込)
Y.Kさん 26歳
治療費用
95万円程度(税込)