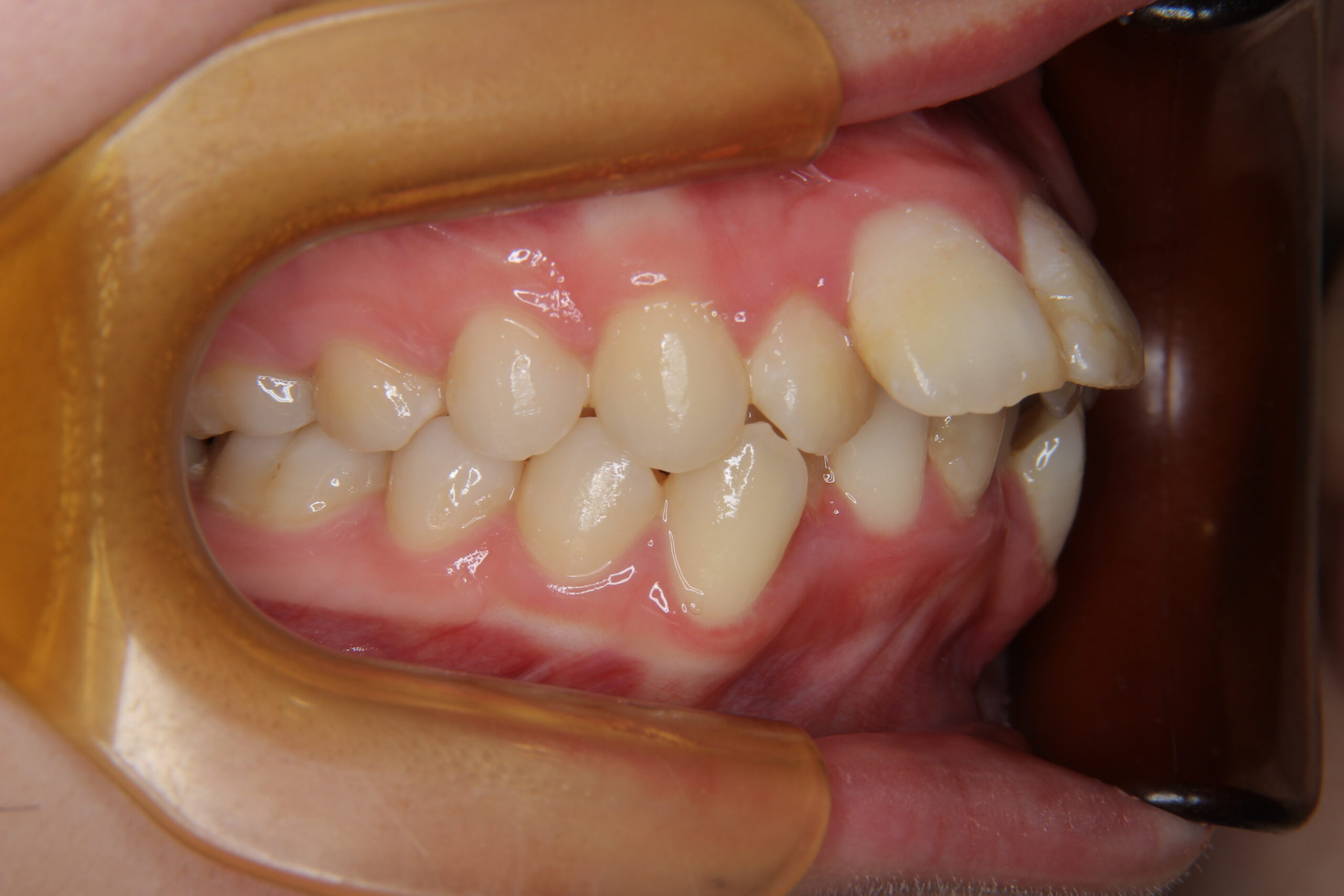
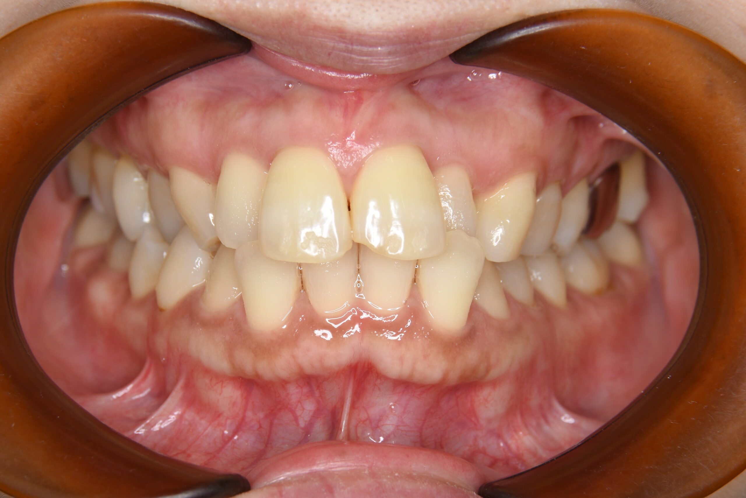
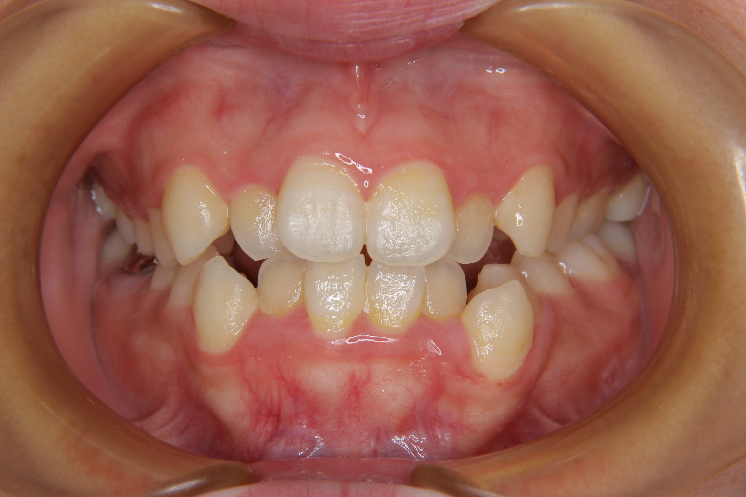
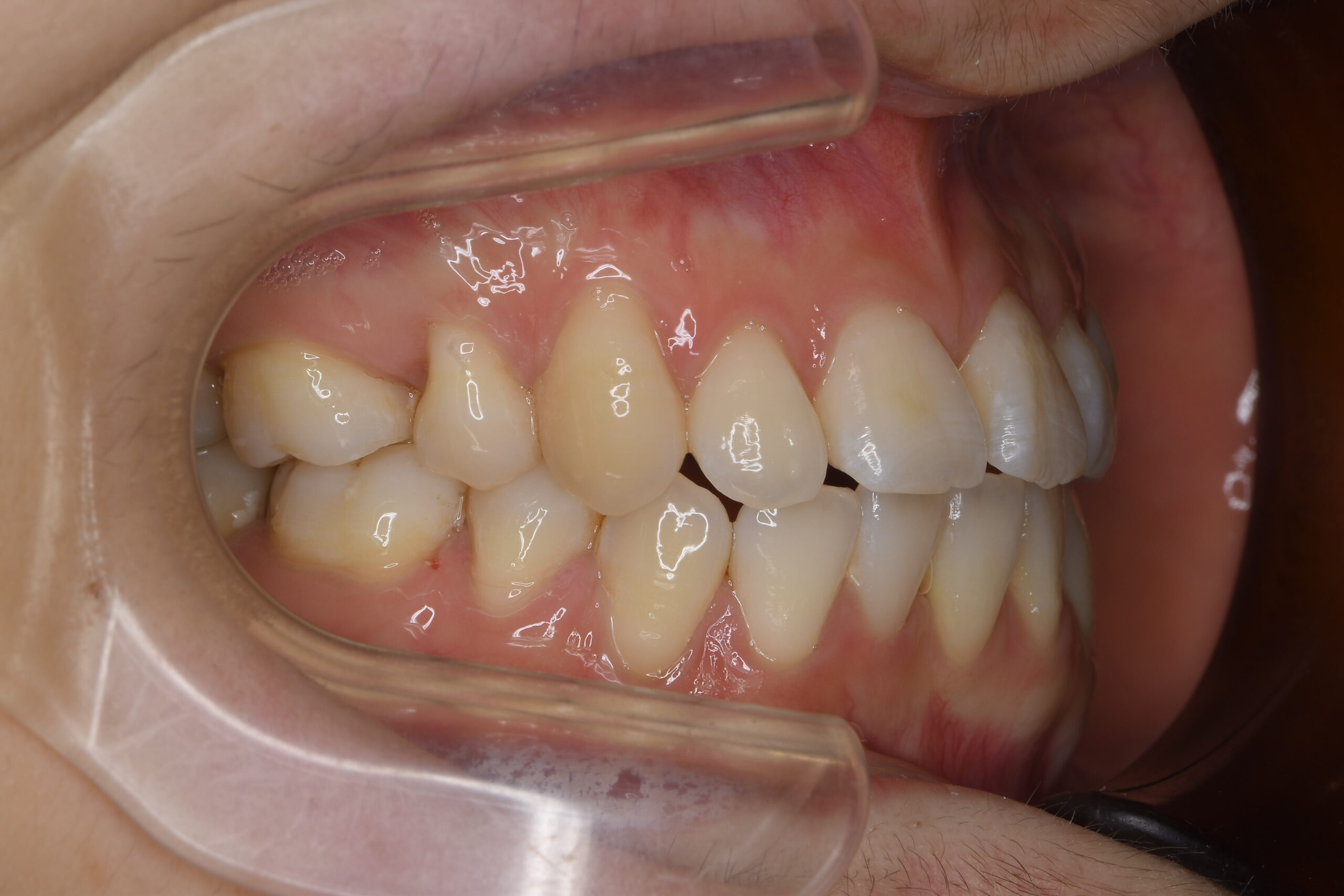
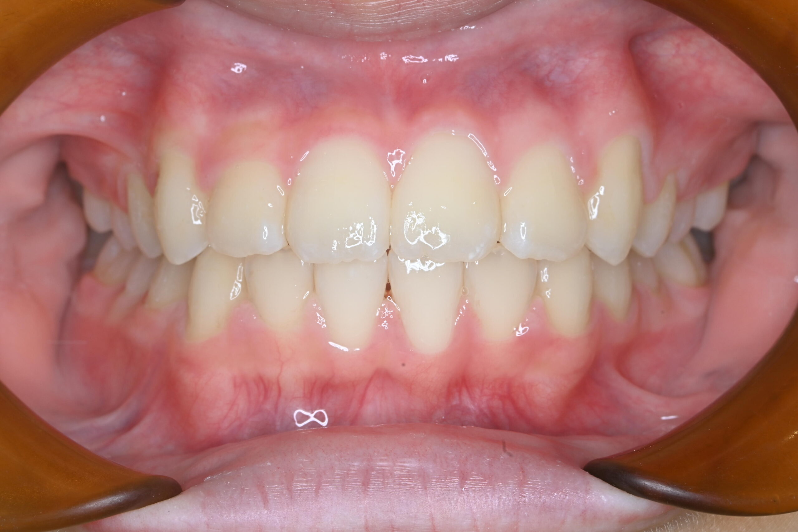
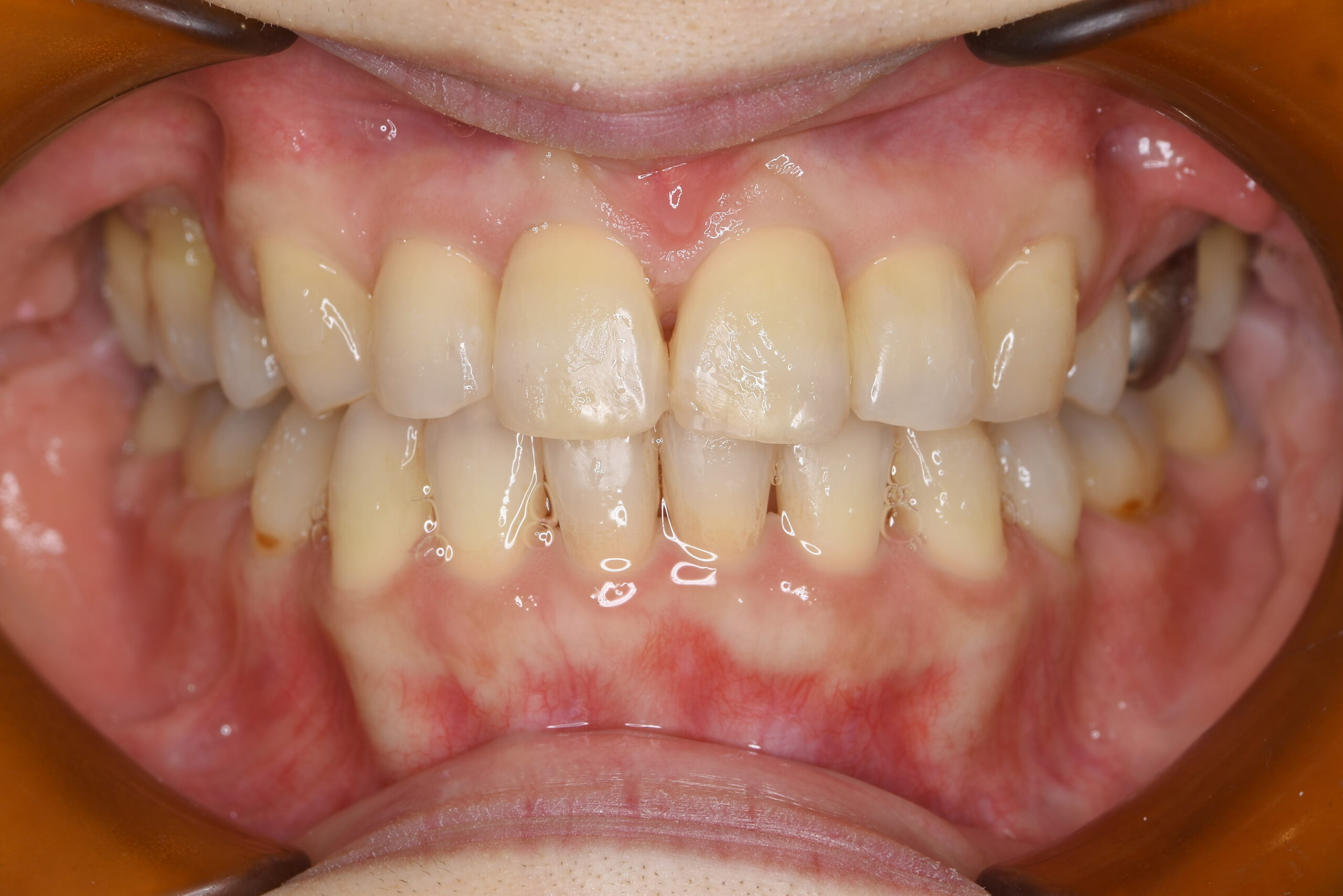
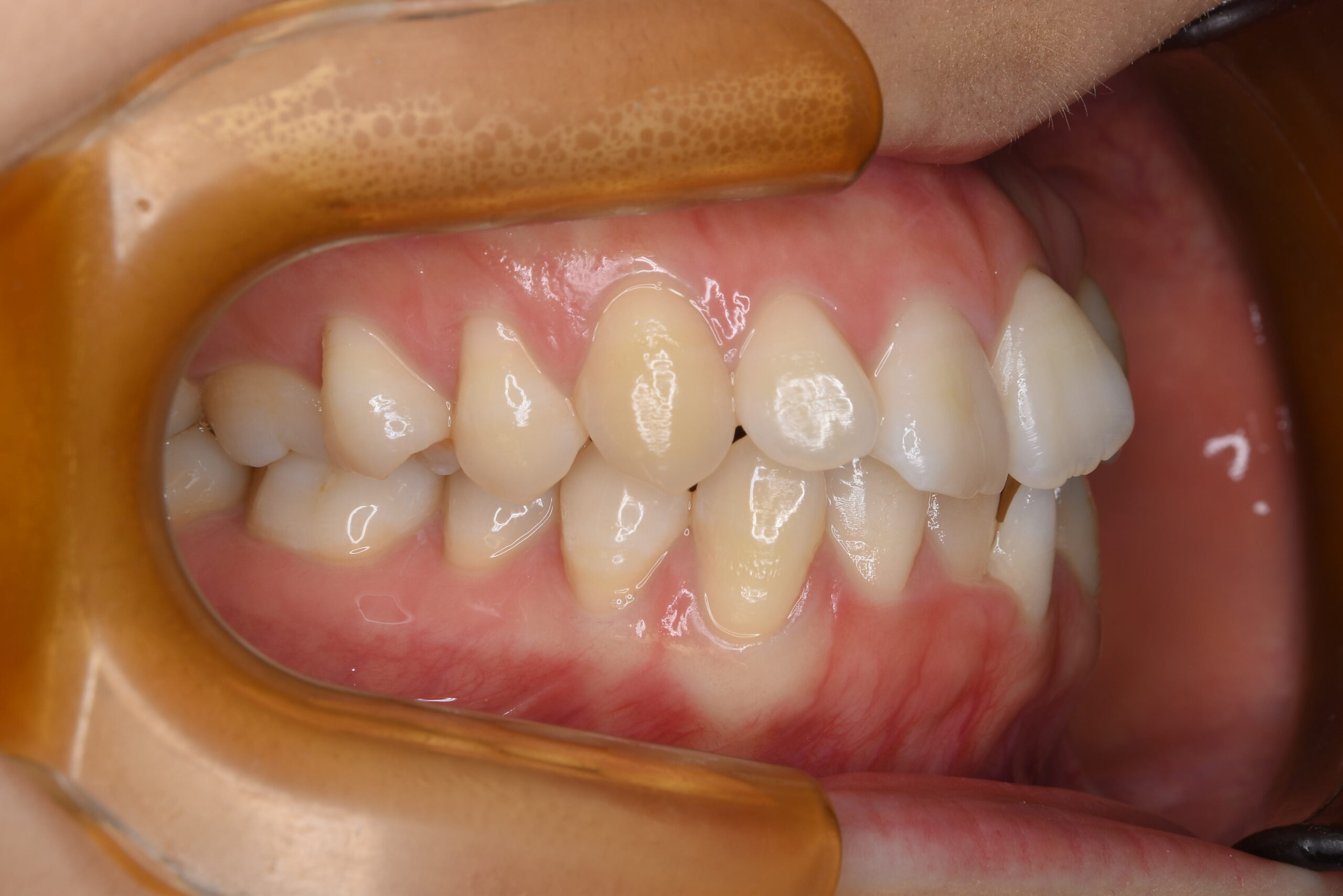
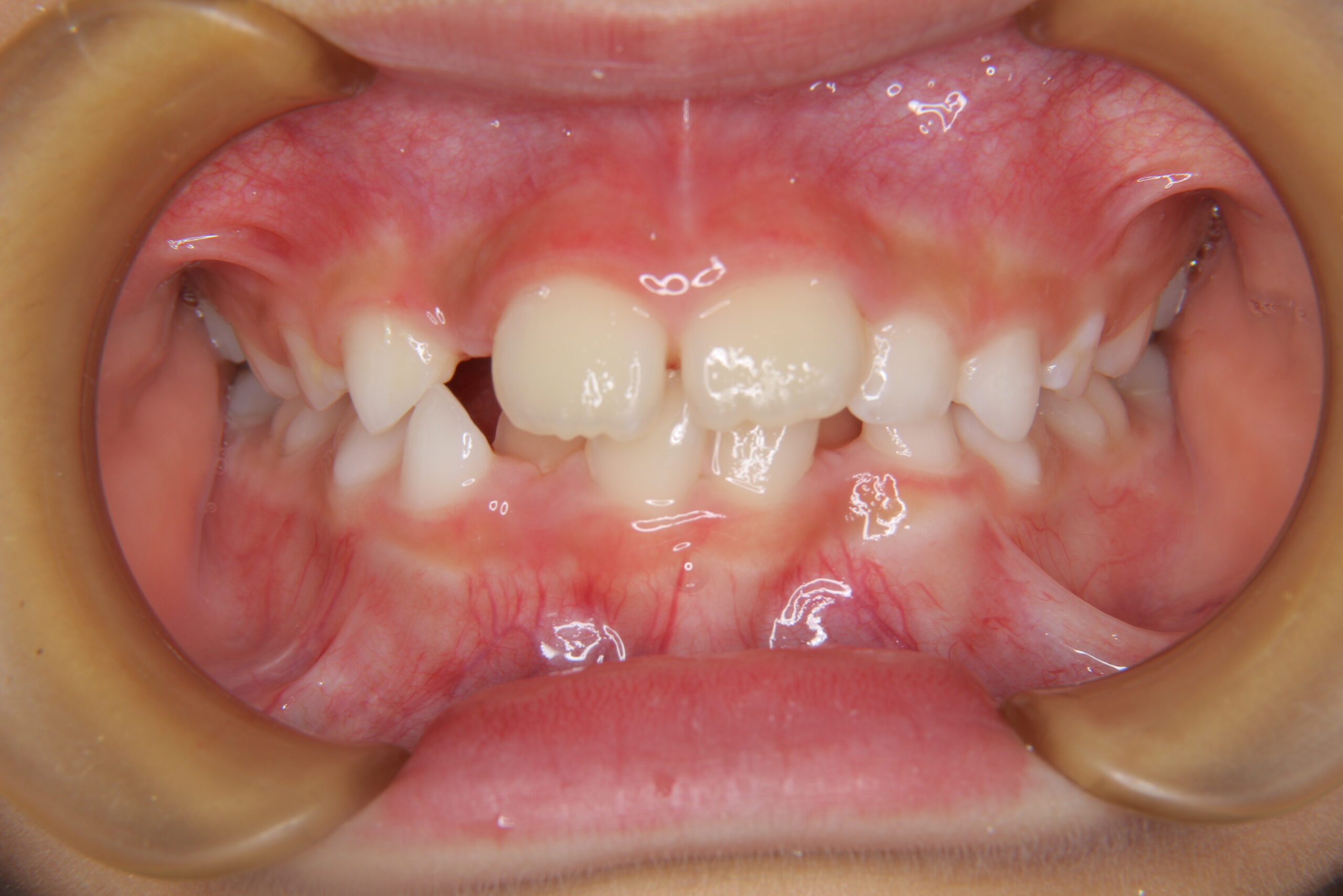
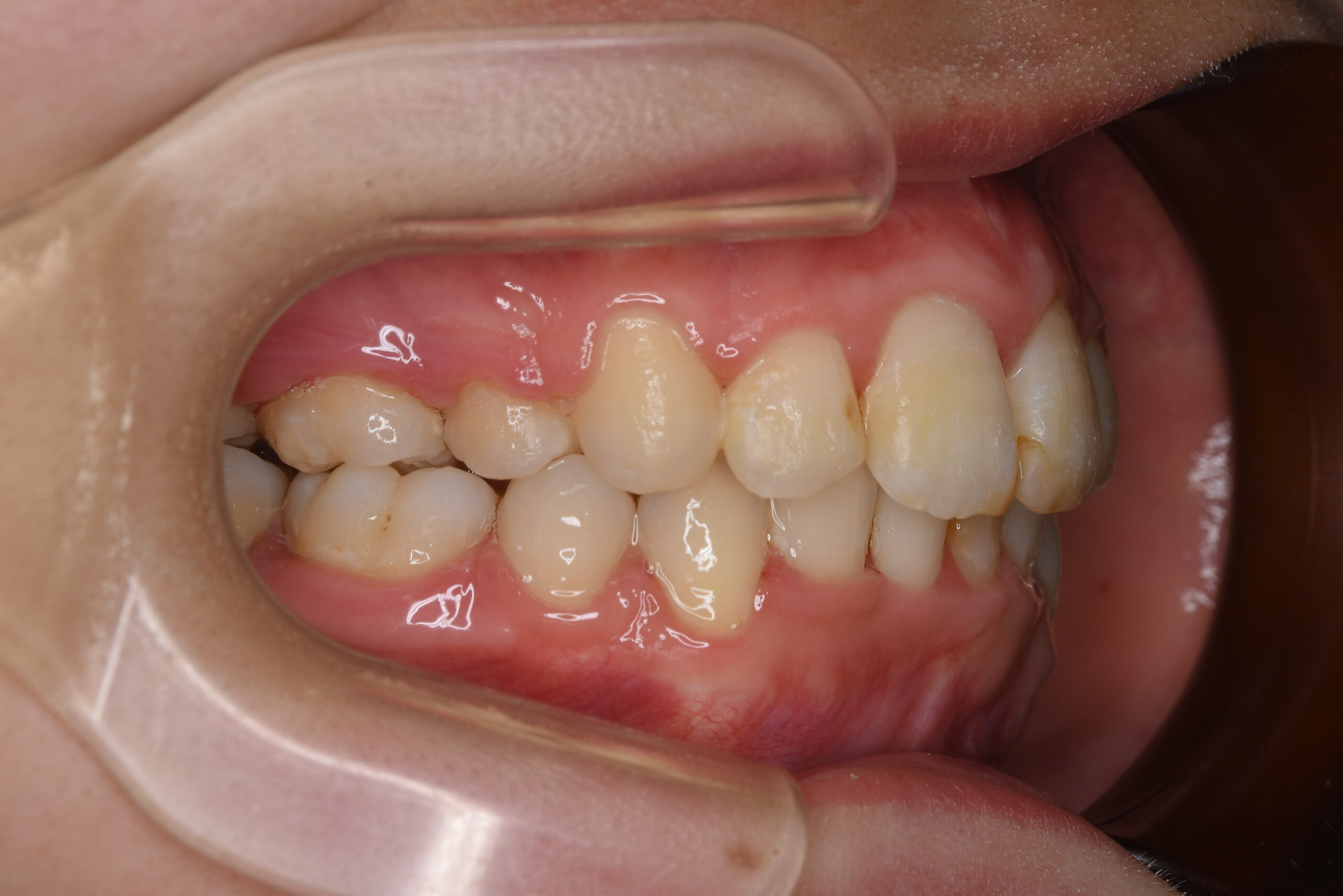
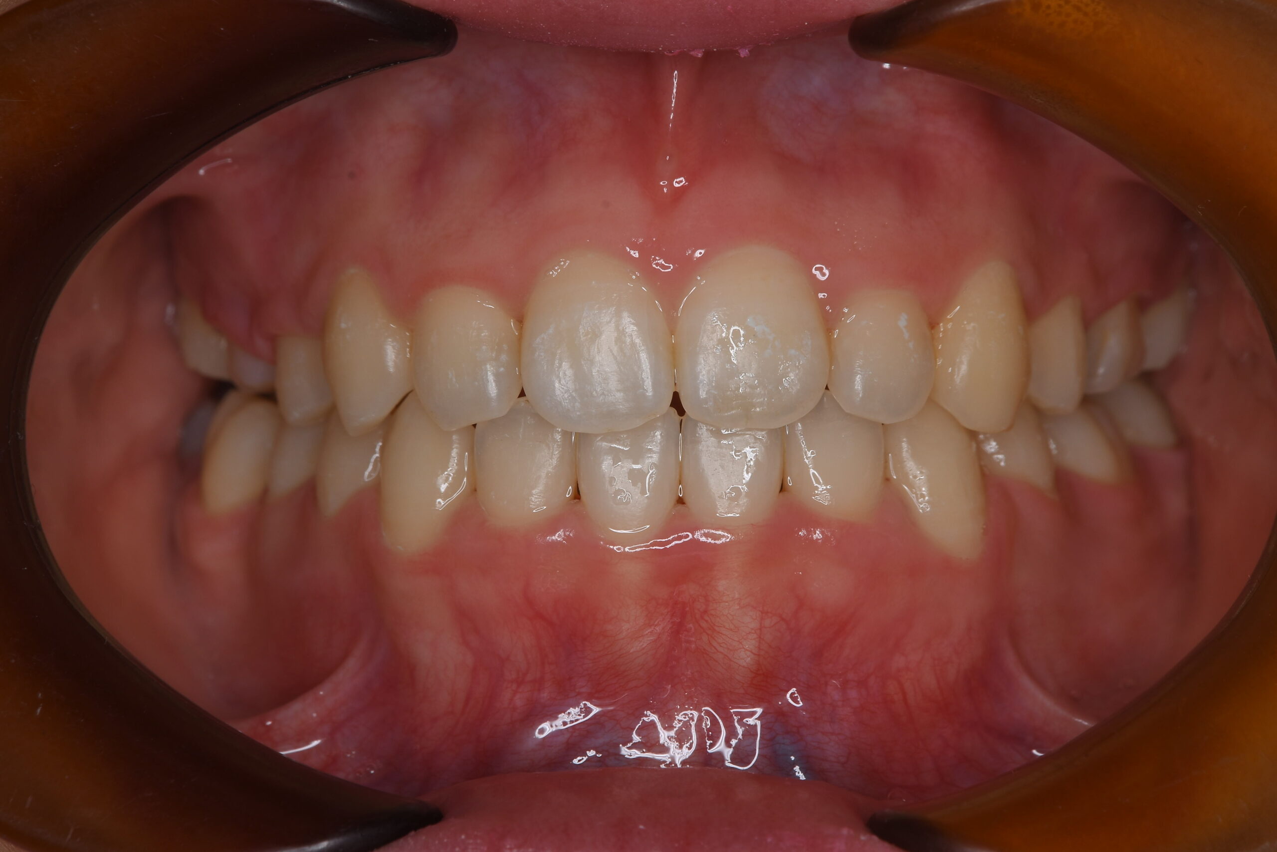
矯正治療症例

TREATMENT

当院では、不安なく快適に治療を受けていただくために、歯並び別、各治療方法など、テーマ毎にに治療に対する解説を掲載しております。
治療費用例も掲載しておりますので、合わせてご参考にしていただければと思います。
当院では、不安なく快適に治療を受けていただくため、患者さんの声をお聞かせいただいています。率直なご意見・ご感想をお聞かせいただくことで、より患者さんの立場に近づき、今後の治療に反映させたいと考えています。ここでは、今後治療を希望される方の励みにもなるご意見・ご感想を取り上げさせていただきました。