TREATMENT
N,Mさん 22歳
治療費用
95万円程度(税込)
O.Mさん 29歳
治療費用
95万円程度(税込)
Y.Sさん 30歳
治療費用
130万円程度(税込)
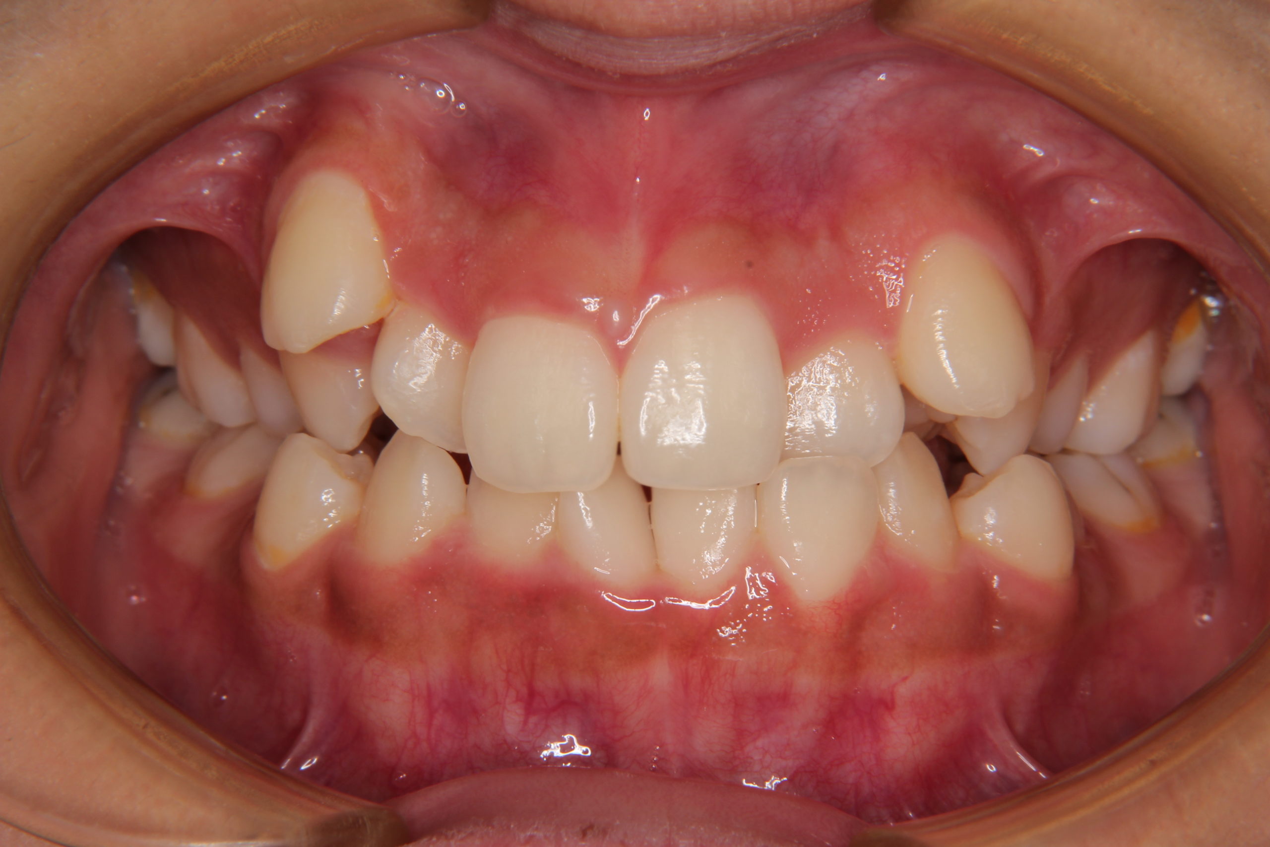
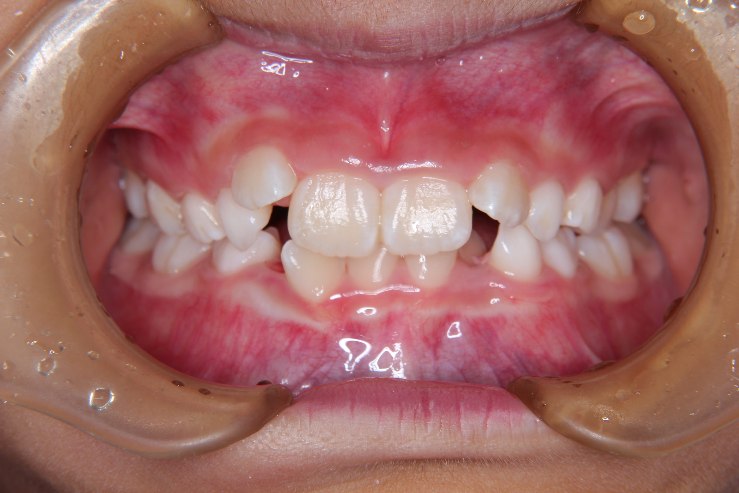
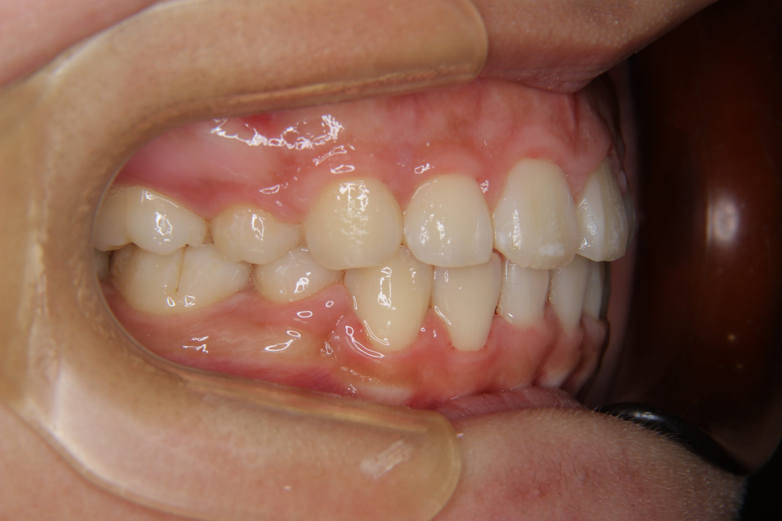
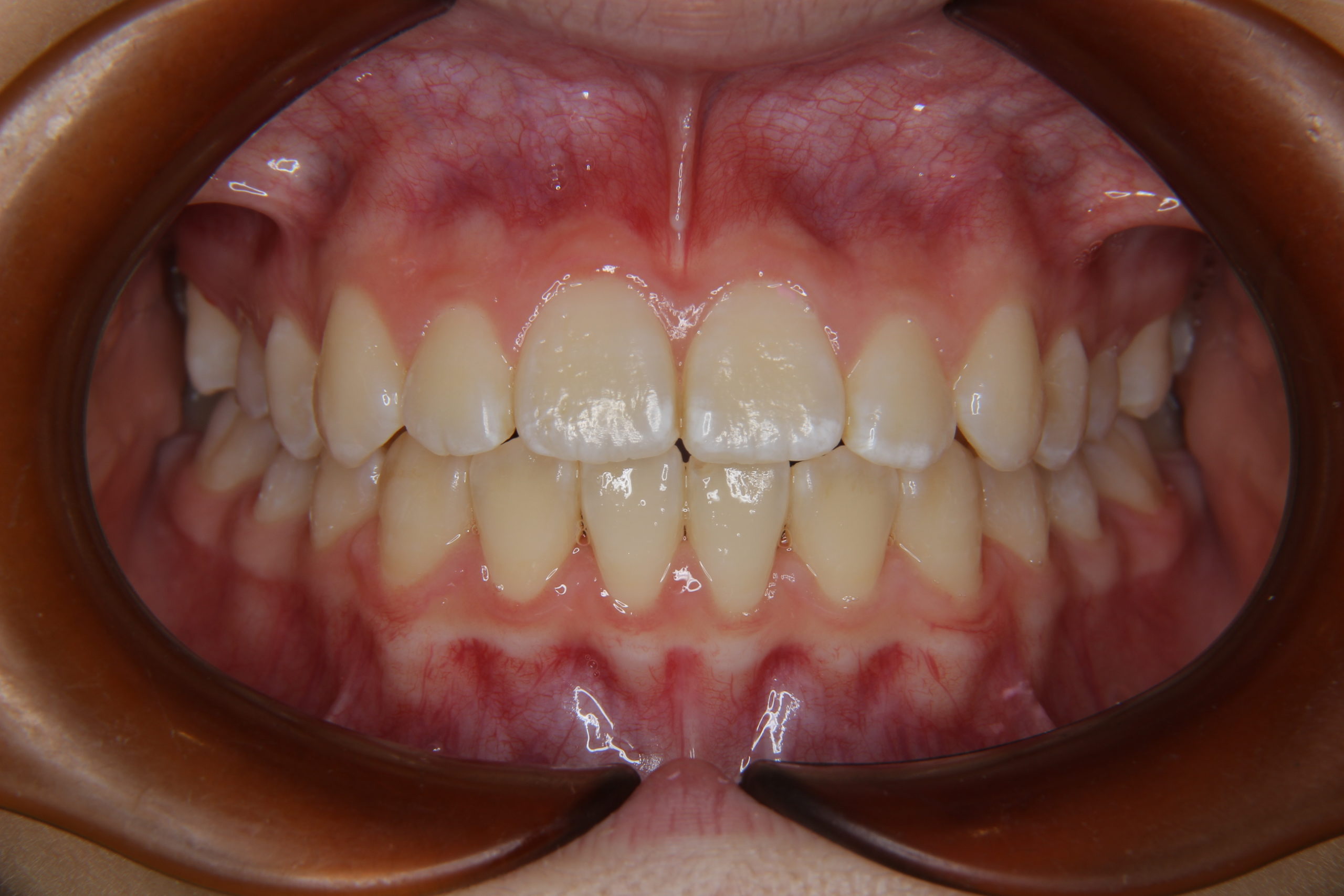
S.Wさん 14歳
治療費用
120万円程度(税込)
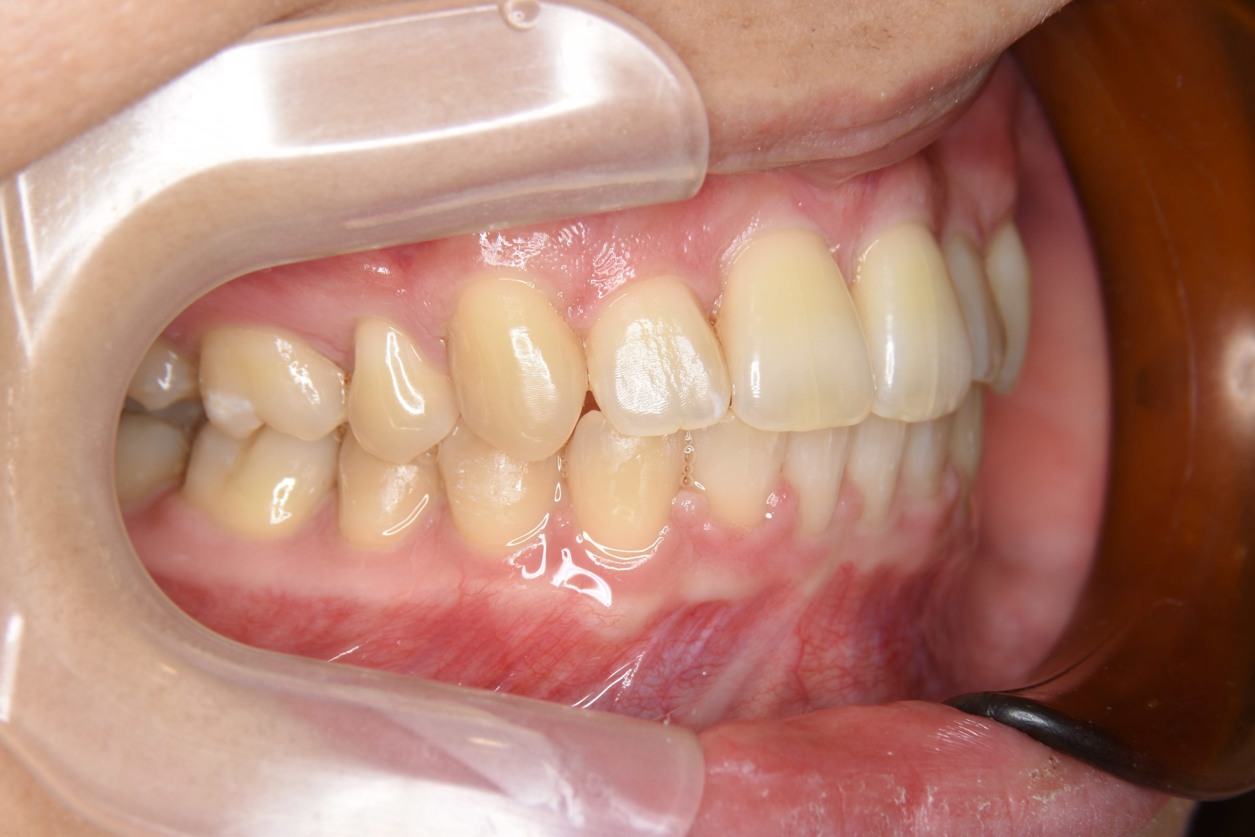
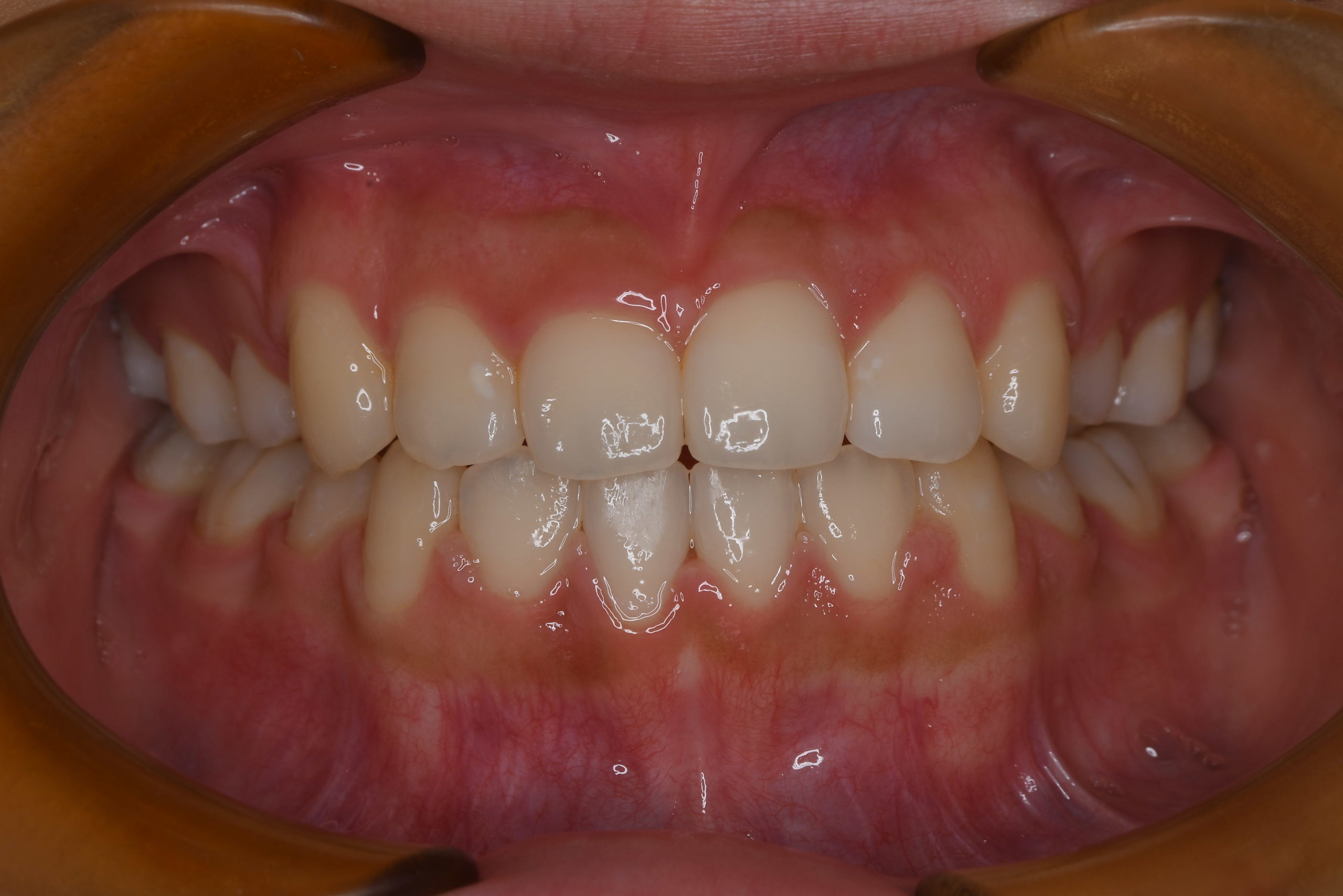
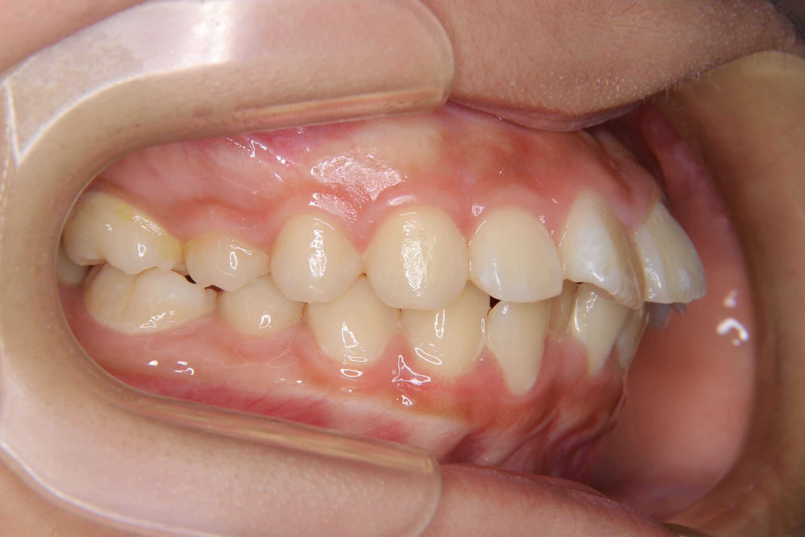
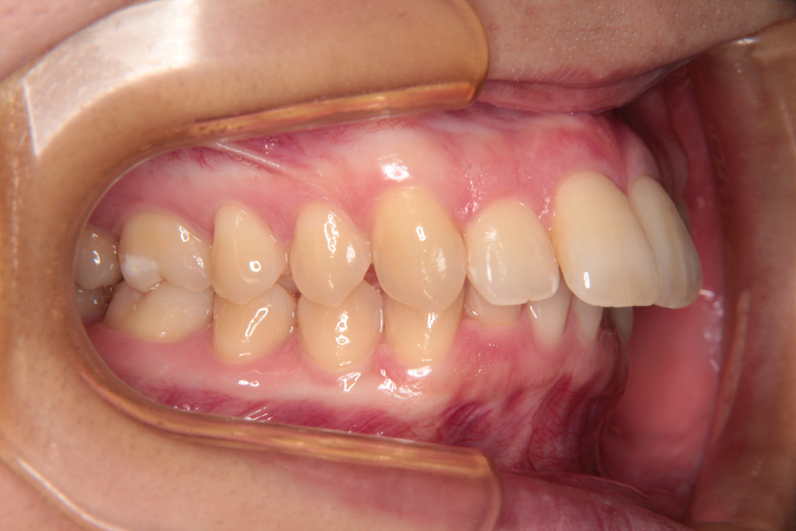
M.Oさん 30歳
治療費用
120万円程度(税込)
N.Tさん 22歳
治療費用
90万円程度(税込)
M.Nさん 16歳
治療費用
130万円程度(税込)
U.Hさん 18歳
治療費用
115万円程度(税込)
T.Rさん 17歳
治療費用
90万円程度(税込)
M.Mさん 19歳
治療費用
115万円程度(税込)