TREATMENT
滋賀県在住 60歳 女性 F.Wさん
治療費用
85万円程度(税込)
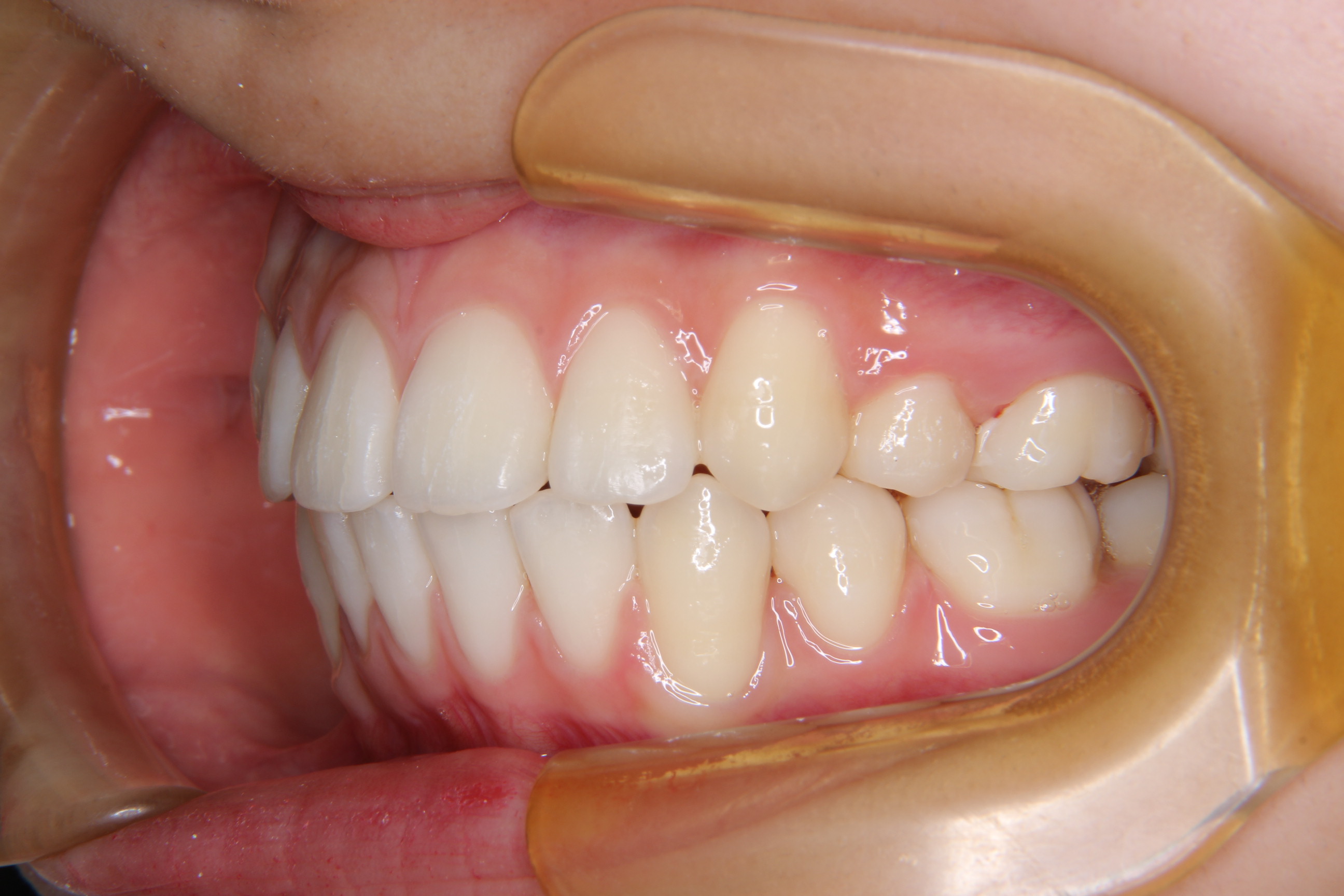
甲賀市在住 24歳 男性 K.Kさん
初診時年齢23歳男性。上下顎前歯部に広い空隙があり、上顎左右側第二大臼歯が外側へ転位しかみ合っていないことを主訴に来院された。
治療費用
80万円程度(税込)
25歳 女性 A・Rさん
治療費用
120万円程度(税込)
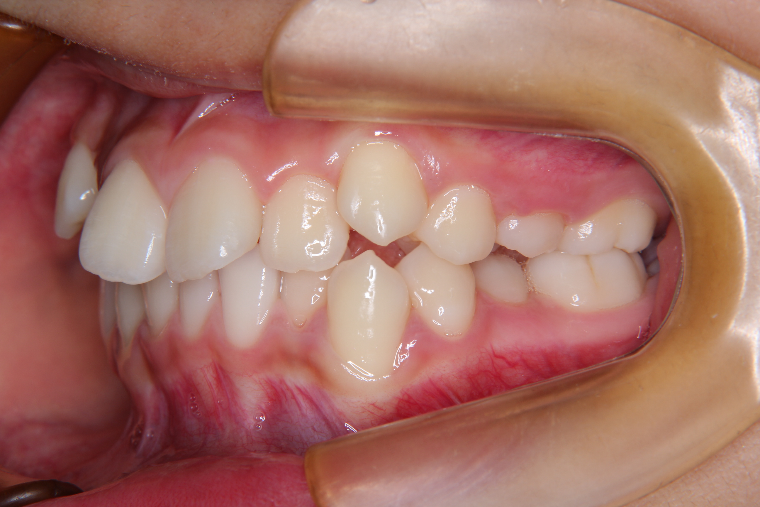
18歳 女性 O・Mさん
初診時年齢15歳女性。下顎の偏位、顔のゆがみを主訴として来院された。
治療費用
保険治療円程度(税込)
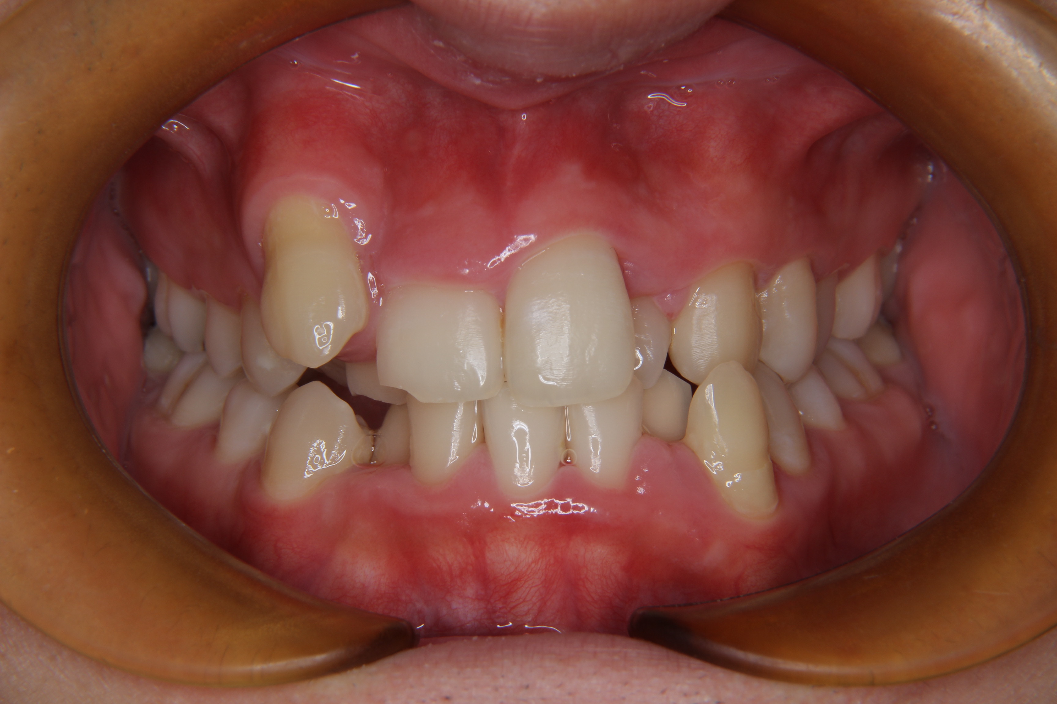
16歳 男性 T・Nさん
初診時年齢14歳男性。前歯部開咬と上顎前突を主訴として来院された。
治療費用
90万円程度(税込)
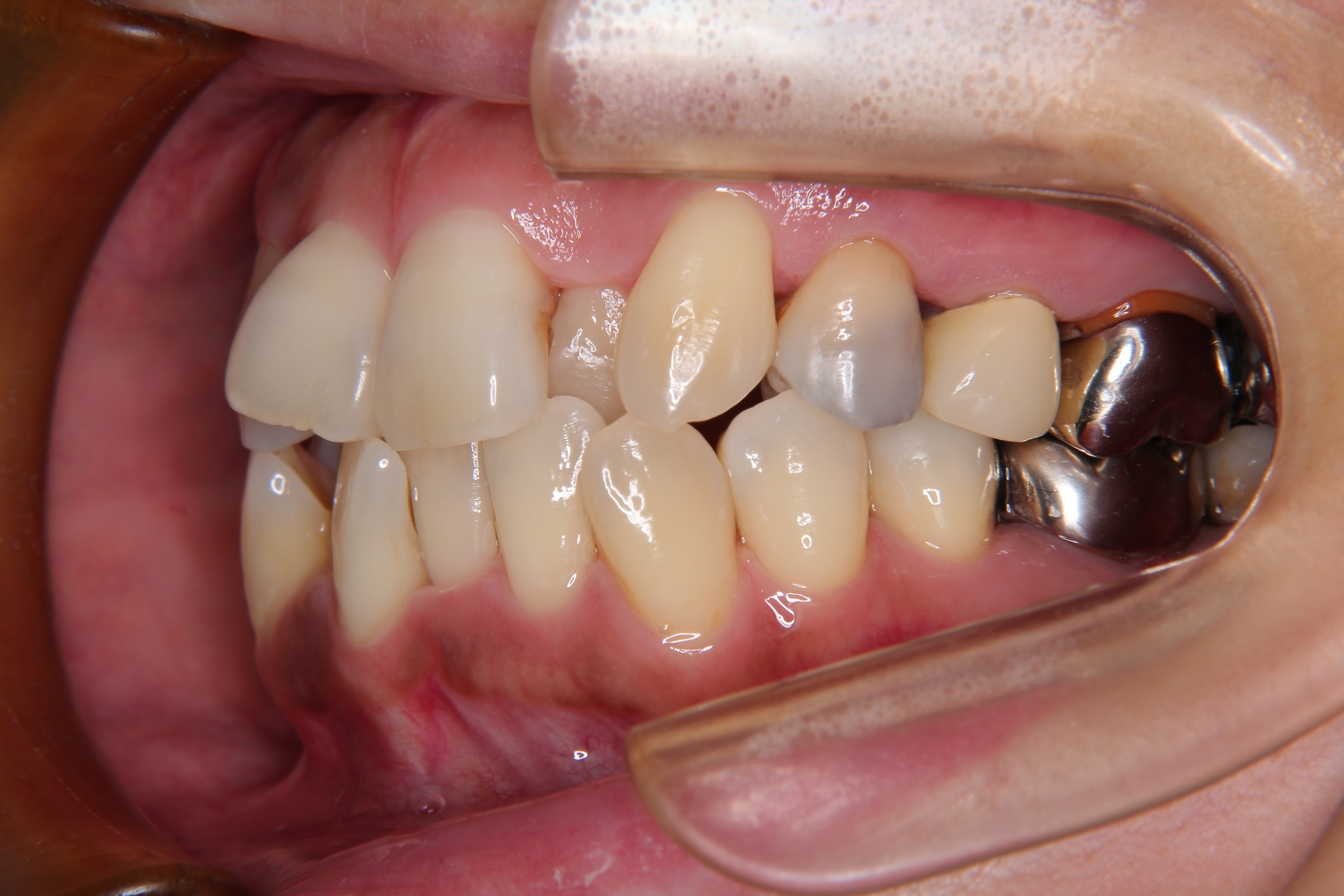
38歳 女性 S.Nさん
治療費用
110万円程度(税込)
14歳 女性 Y.Aさん
治療費用
90万円程度(税込)
15歳 女性
治療費用
90万円程度(税込)
大津市在住 13歳 女性 Y.Mさん
治療費用
85万円程度(税込)
M.Sさん 31歳
治療費用
115万円程度(税込)