TREATMENT
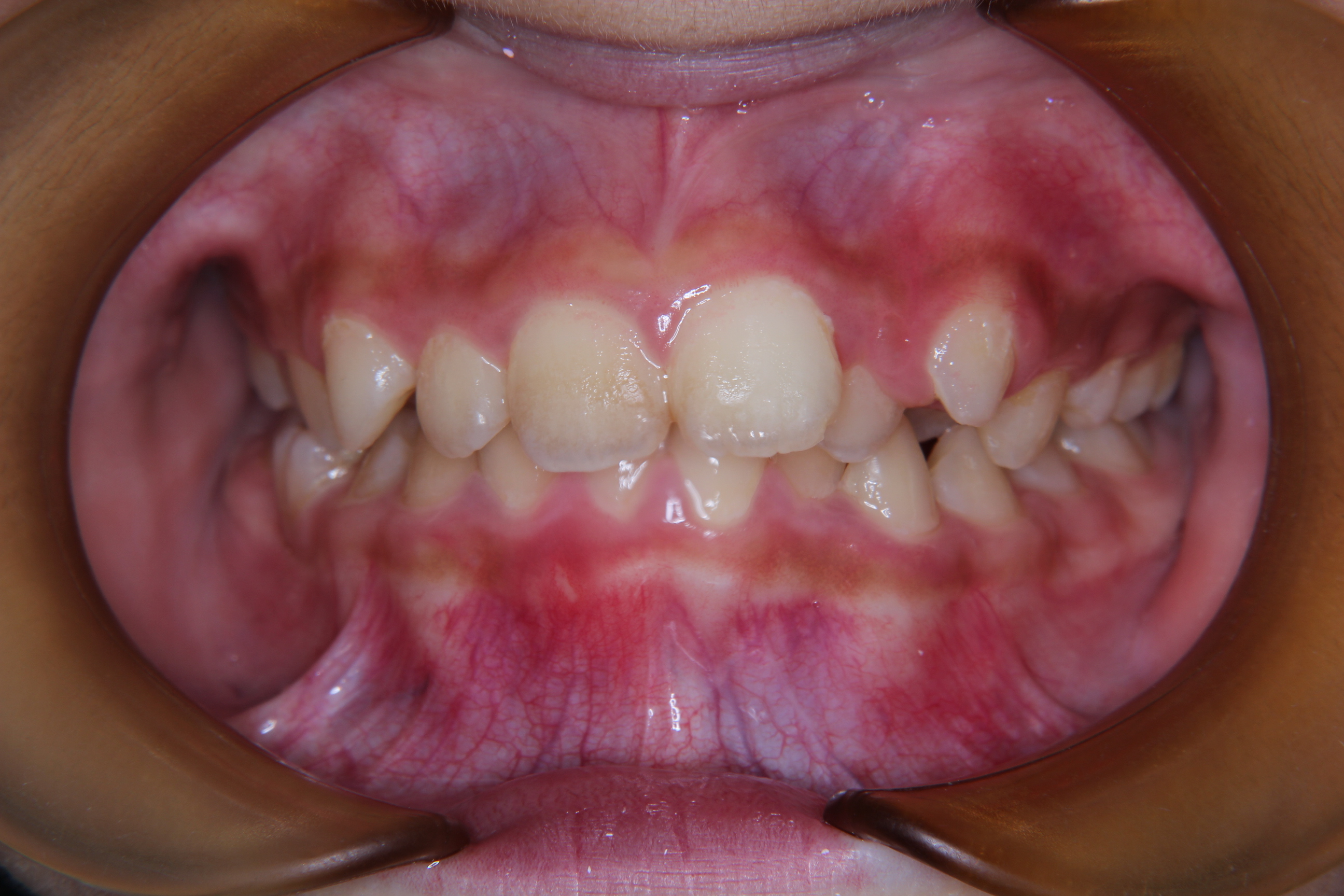
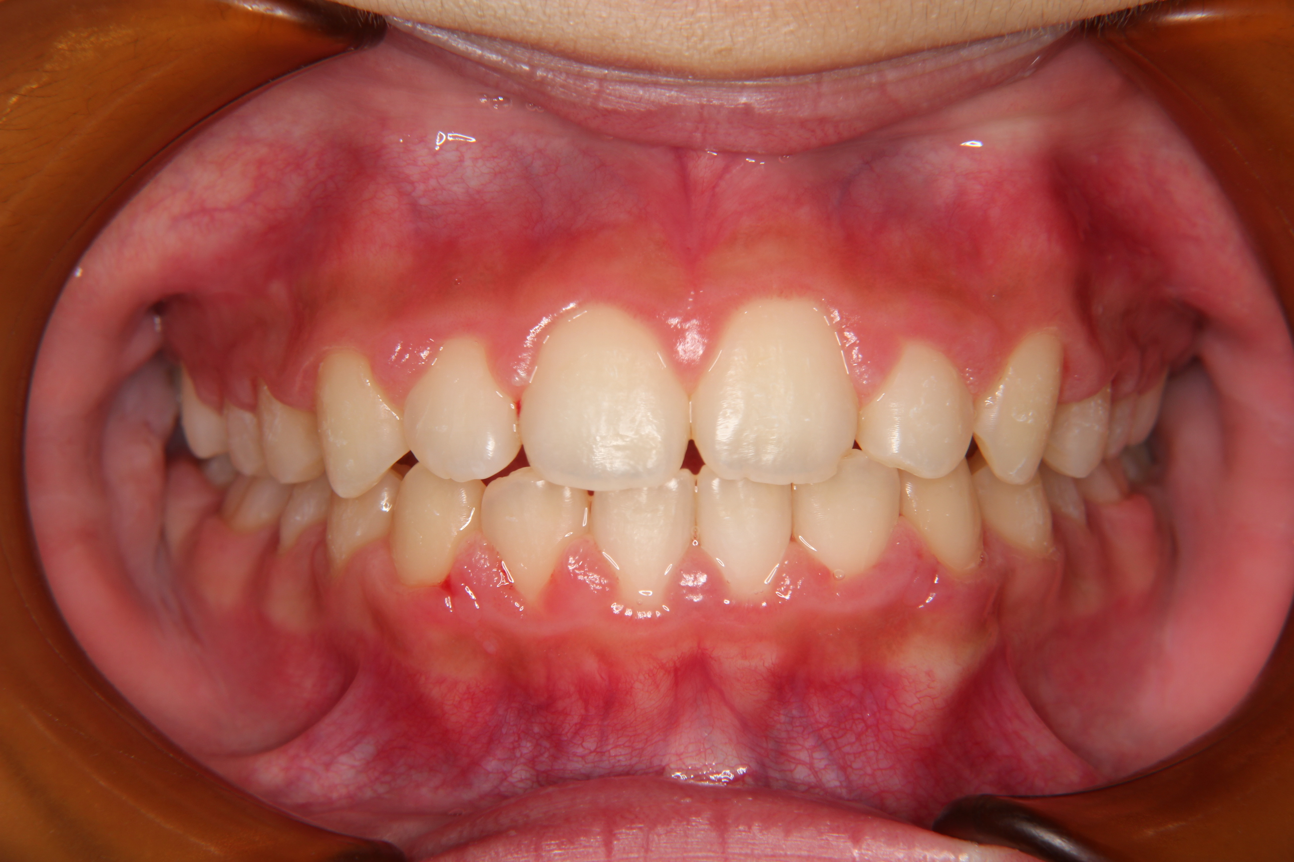
草津市在住 女性 H.Yさん 14歳
治療費用
90万円程度(税込)
大津市在住 男性 T.Sさん 17歳
治療費用
90万円程度(税込)
大津市在住 女性 F.Iさん 22歳
治療費用
85万円程度(税込)
草津市在住 女性 K.Eさん 17歳
治療費用
80万円程度(税込)
草津市在住 女性 S・Nさん 26歳
治療費用
110万円程度(税込)
大津市在住 女性 H.Sさん 16歳
治療費用
90万円程度(税込)
草津市在住 E・Kさん 20歳
治療費用
105万円程度(税込)
大津市在住 女性 N・Iさん 16歳
治療費用
120万円程度(税込)
大津市在住 女性 T.Yさん 14歳
治療費用
85万円程度(税込)
守山市在住 女性 T.Mさん 中学生
治療費用
80万円程度(税込)