TREATMENT
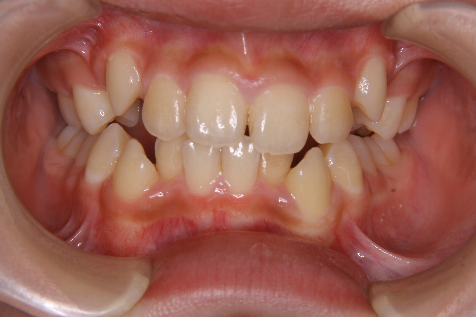
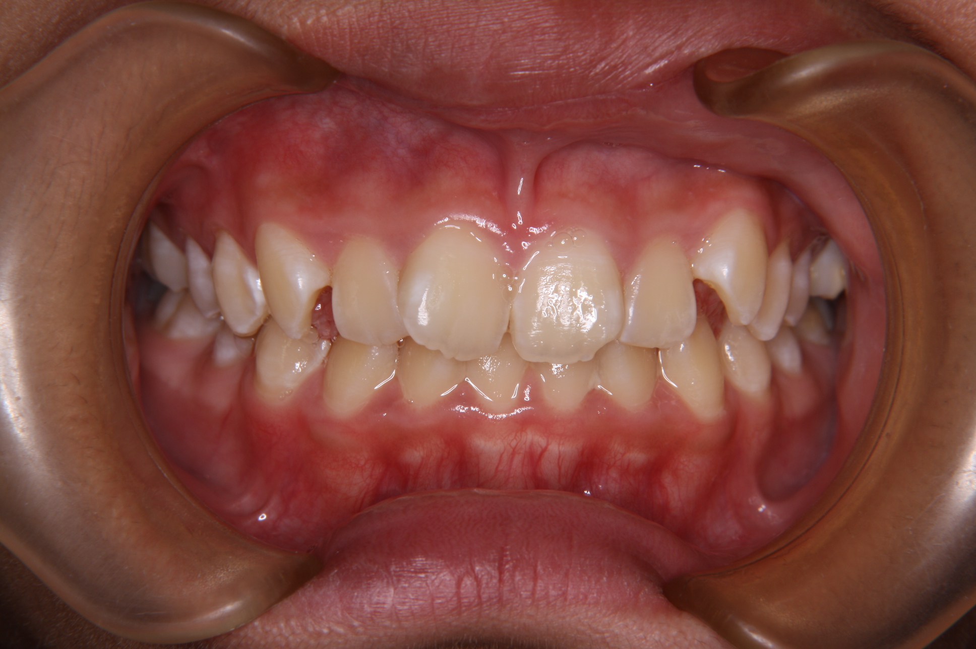
大津市在住 女性 M.M 14歳
治療費用
85万円程度(税込)
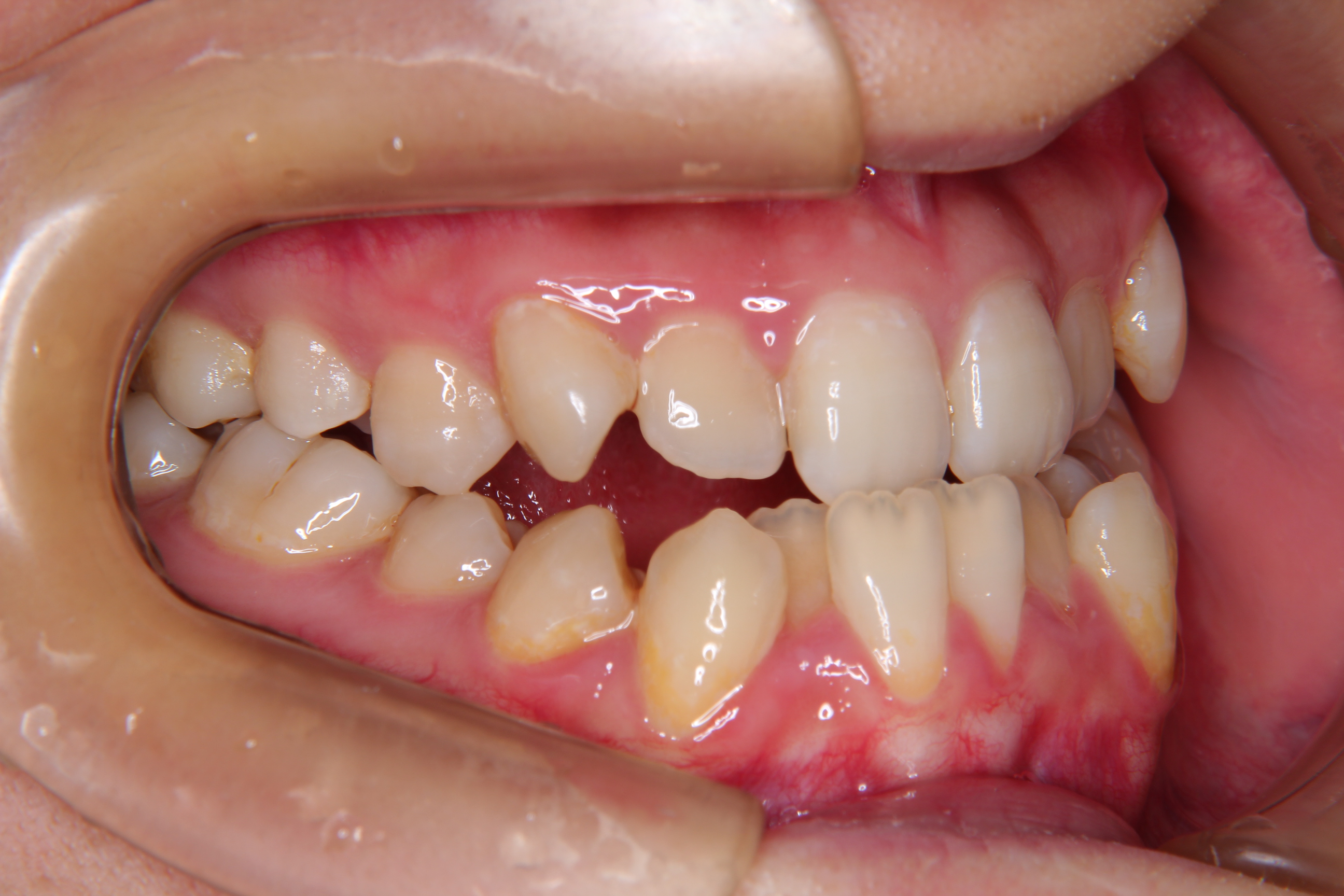
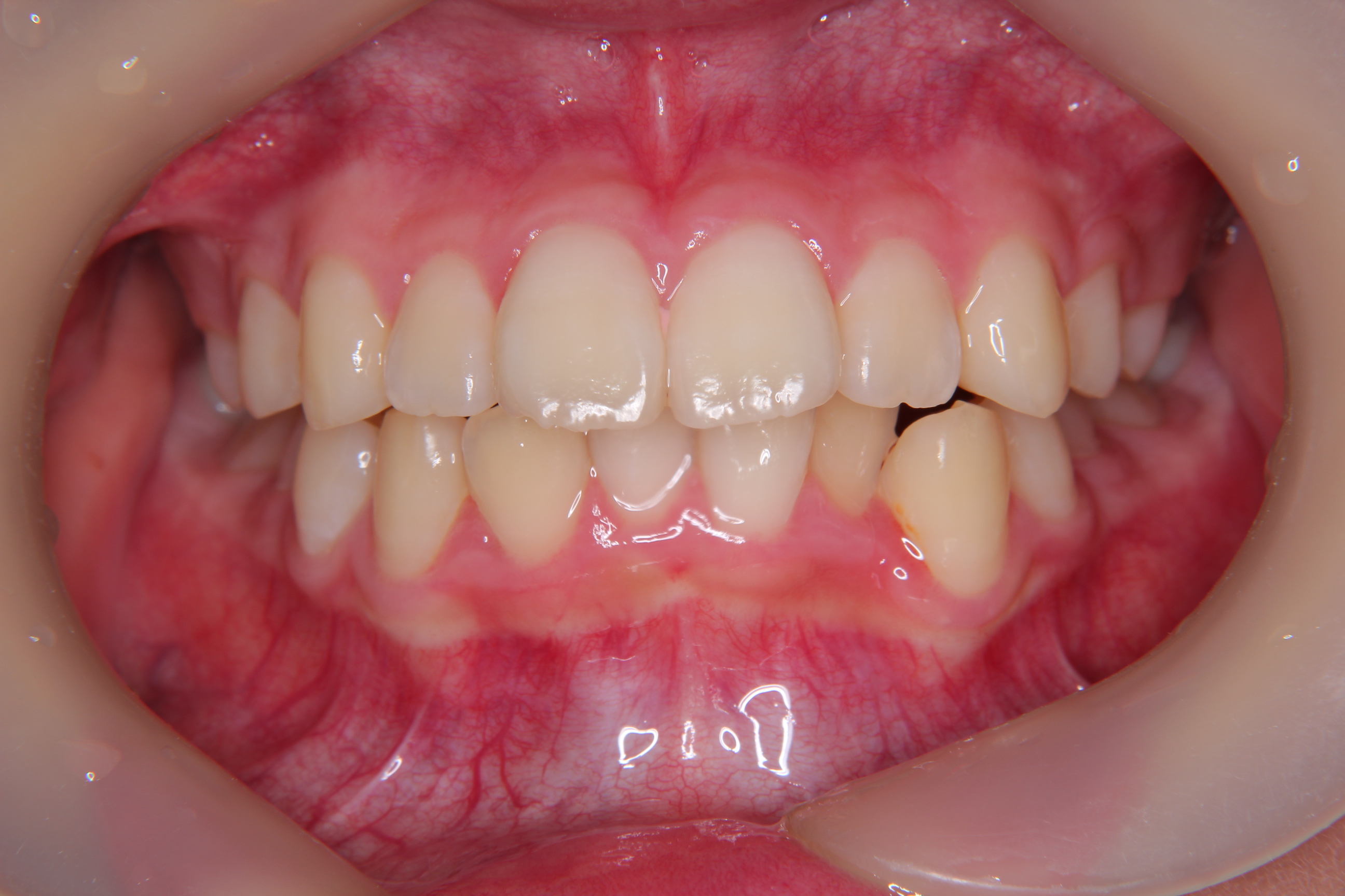
草津市在住 男性 A,Rさん 14歳
治療費用
85万円程度(税込)
東近江市在住 女性 Y.Tさん 23歳
治療費用
110万円程度(税込)
大津市在住 女性 W.Mさん 28歳
治療費用
85万円程度(税込)
大津市在住 女性 I.Mさん 34歳
治療費用
120万円程度(税込)
大津市在住 女性 T.Yさん 18歳
治療費用
90万円程度(税込)
大津市在住 女性 N.Mさん 24歳
治療費用
125万円程度(税込)
大津市在住 女性 O.Aさん 15歳
治療費用
95万円程度(税込)
大津市在住 女性 T・Yさん 30歳
治療費用
130万円程度(税込)
草津市在住 女性 M.Fさん 22歳
治療費用
80万円程度(税込)