TREATMENT
大津市在住 M.Tさん 24歳
治療費用
120万円程度(税込)
高島市在住 女性 M.Nさん 21歳
治療費用
-円程度(税込)
大津市在住 女性 K.Sさん 20歳
治療費用
110万円程度(税込)
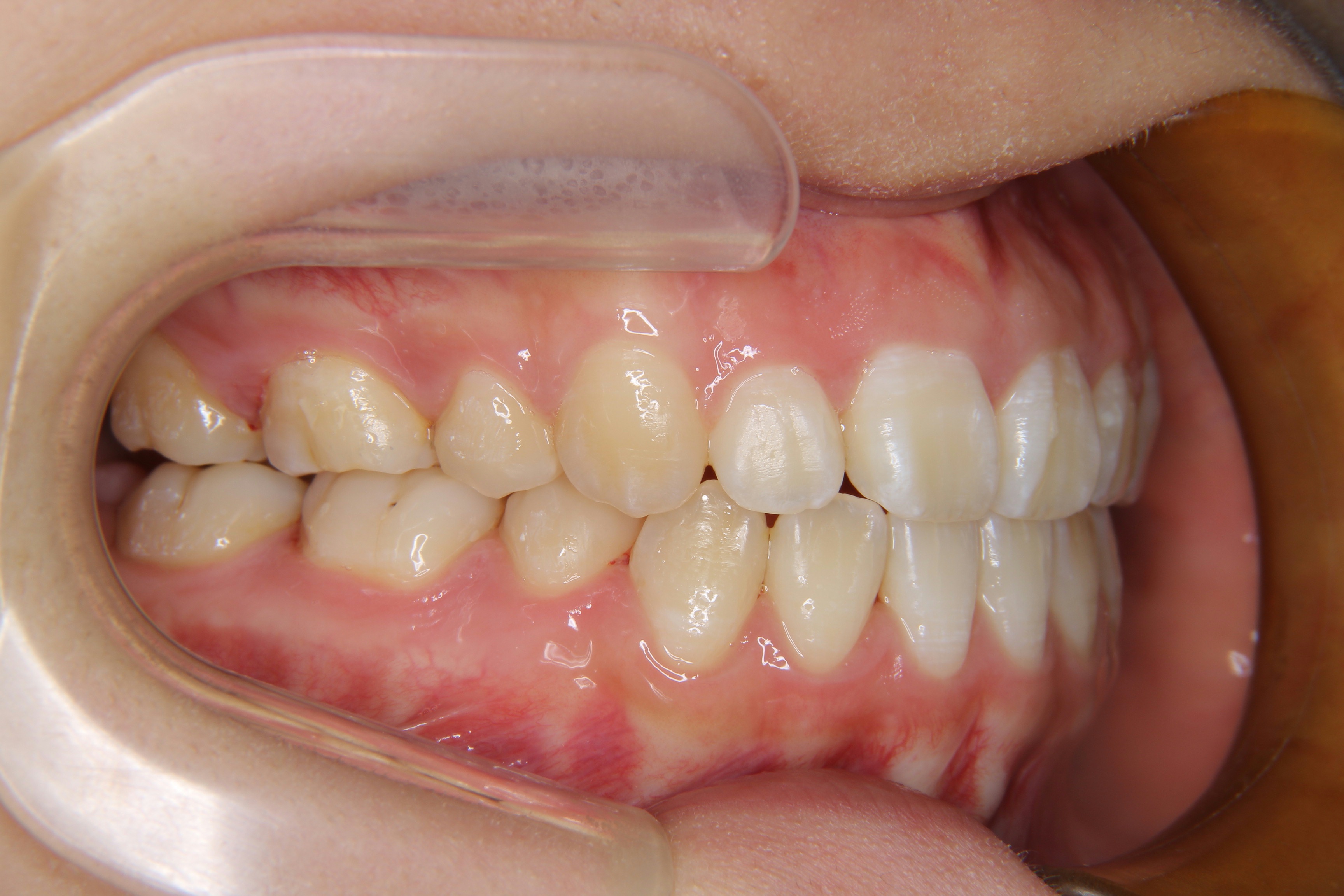
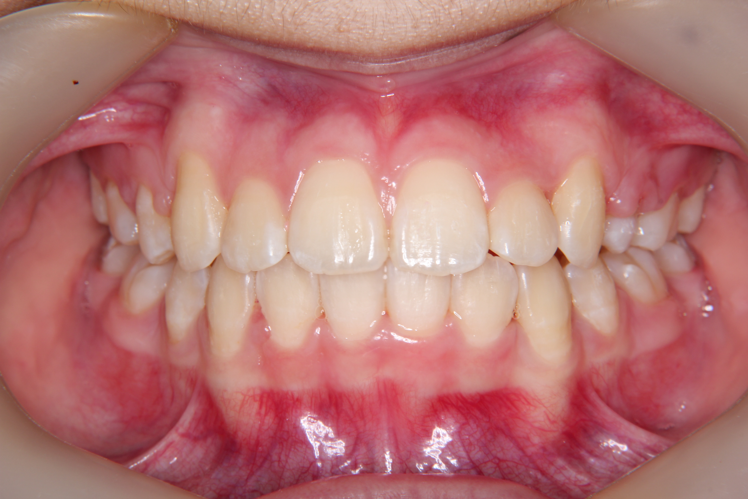
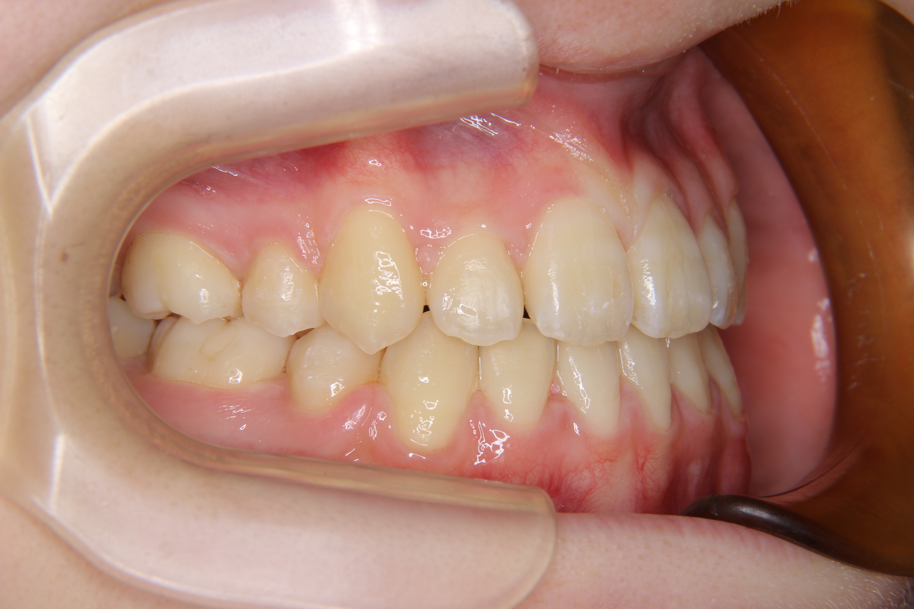
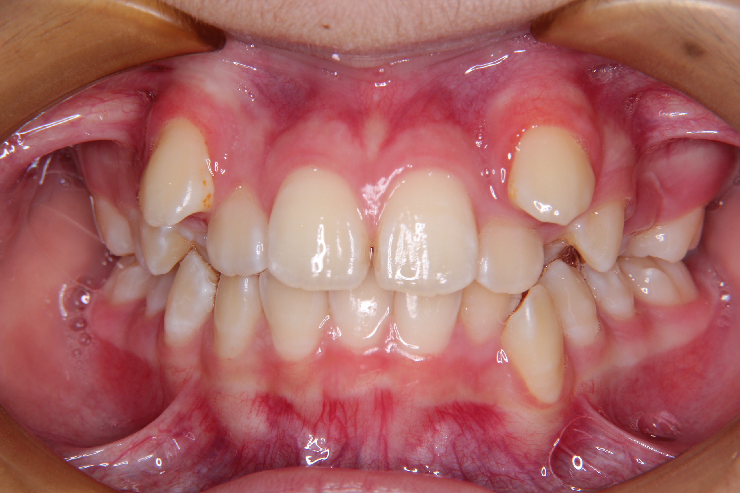
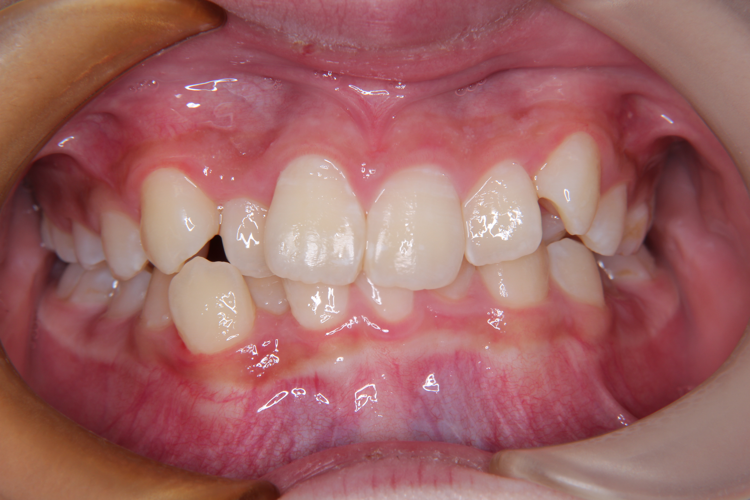
大津市在住 H.Iさん 12歳
治療費用
85万円程度(税込)
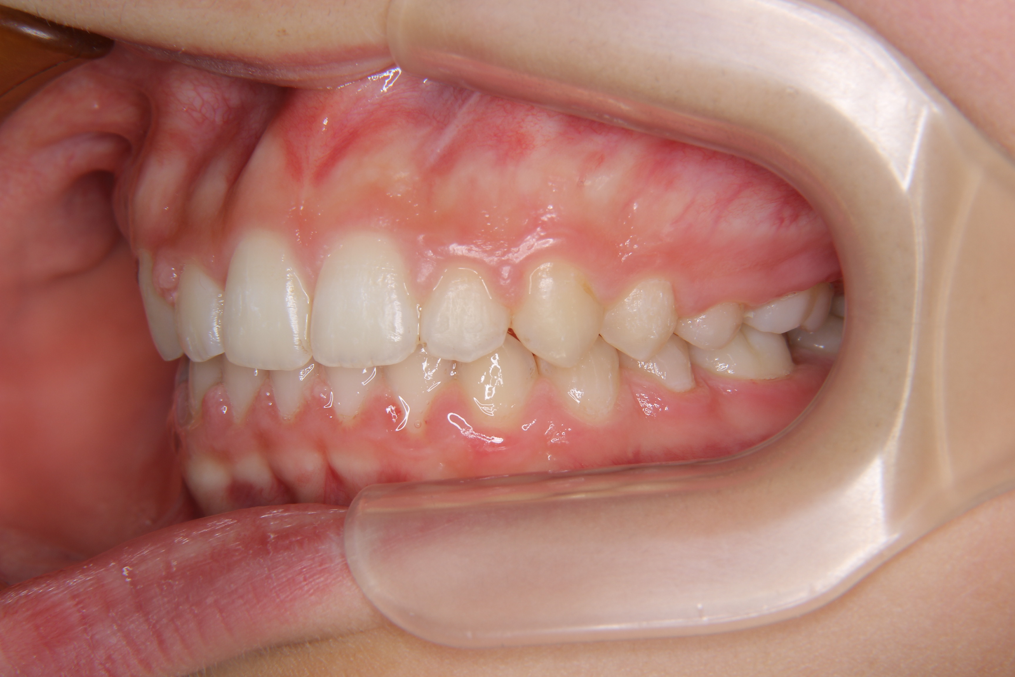
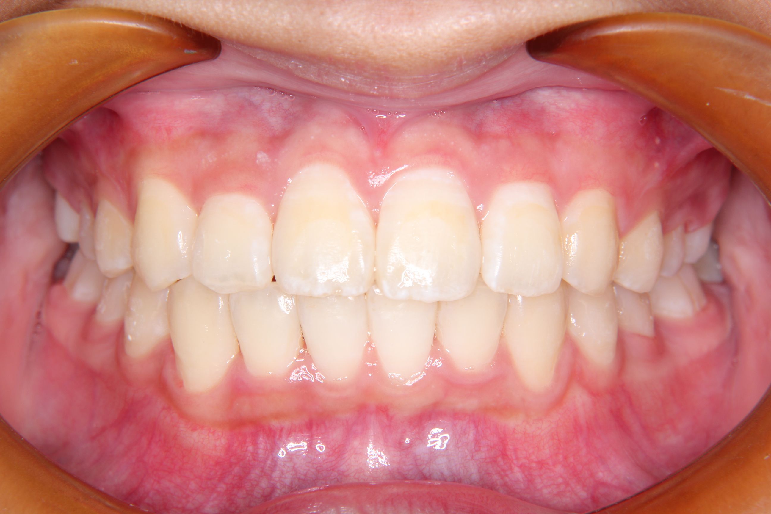
N.Kさん 14歳
治療費用
85万円程度(税込)
T.Kさん 27歳
治療費用
110万円程度(税込)
M.Yさん 17歳
治療費用
90万円程度(税込)
F.Mさん 33歳
治療費用
120万円円程度(税込)
M.Fさん 22歳
治療費用
90万円程度(税込)
I.Aさん 15歳
治療費用
100万円程度(税込)