口腔機能療法(MFT)とは
こんにちは。歯科衛生士の立元です。
矯正治療を行った後、綺麗な歯並びや良い噛み合わせを維持する期間を「保定期間」と言います。しかし、何もしていなければ歯が元の位置に戻ってしまうことがあります。このことを後戻りと言いますが、後戻りする原因は保定装置(リテーナー)が使えていない、親知らずの影響など、いくつかありますが、今回は舌癖が関係していることについてお話ししようと思います。
そもそも舌癖とは?
日常生活で無意識の時に上下の歯から舌が出ていたり、飲み込む時に舌で歯を押すような動きをすることを舌癖と言います。
私たちは1日600回〜2000回無意識に飲み込む動作をしています。舌癖のある人は飲み込むたびに舌で歯を押していることになるので出っ歯になったり歯と歯の間に隙間ができたり、噛み合わせが悪くなる原因に繋がります。
矯正治療中は装置で押さえているので大丈夫ですが、装置を外した時に舌癖が残っていると噛み合わせや歯並びが悪くなるので装置を外すまでに舌癖をどこまで治せるかがとても重要になってきます。
どうやって舌癖を治すのか?
口腔機能療法という言葉を聞いたことがありますか?舌や唇、頬などの口周りの筋肉を鍛えて、正しい位置に導くためのトレーニングです。手鏡や木製のスティック、スプレーなどの器具や、レーズンやクラッカーなど食べ物を使ってすすめていきます。
ここで重要になってくるのが舌が普段ある位置です。みなさん、普段舌はどこにありますか?
正しい位置は、上の前歯の裏側の少し膨らんでいるところに舌先をつけます。これを「スポットポジション」と言います。
この時に注意してほしいことは、舌先が丸まってスポットにつけないようにしてください。
日常生活で気付いた時や、食べ飲みするときは常にスポットポジションに舌先をつけてください。
ほりい矯正歯科クリニックでは、舌癖がある方には口腔機能療法(MFT)を受けていただいています。子どもから大人まで対象です。
余談ですが、、
口腔開咬(上下の歯が噛み合わない状態)や口呼吸などの子どもの場合、口腔機能療法(MFT)だけで治るケースもありますが、簡単な装置を使用することで治るケースもあります。
その症例を紹介させていただきます。
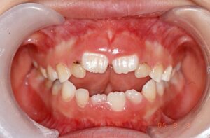
〈1〉
初診時の口腔内の写真です。
開咬で舌癖もあったので、口腔機能療法(MFT)をしていただきました。

口腔機能療法(MFT)だけでここまで綺麗な歯列にすることができました。

〈2〉
初診時の口腔内の写真です。
開咬で舌癖もあったので、口腔機能療法(MFT)をしていただきましたが、この方はトレーナーと言う装置を併用して使っていただきました。


口腔機能療法(MFT)とトレーナーを使用することでここまで綺麗な歯列にすることができました。

当院では歯科衛生士と口腔機能療法(MFT)を行い、舌癖を治すトレーニングをさせていただきますが、矯正治療で時間をかけて整えた歯が後戻りしてしまってはもったいないので、スポットポジションを意識してみてください。いつまでも綺麗な状態を守っていってくださいね!
〈参考文献〉
・最新歯科衛生士教本咀嚼障害・咬合異常2歯科矯正
・口腔筋機能療法(MFT)
・舌のトレーニング